Formulation Supplied at 0.5 mg/ml in Tris saline, 0.02% sodium azide, pH7.3 with 0.5% bovine serum albumin.
| |
Unit Size 100 µg | |
Storage Instructions Aliquot and store at -20°C. Minimize freezing and thawing. | |
Synonym / Alias Names serine/threonine-protein kinase pim-2| serine/threonine protein kinase pim-2| proto-oncogene Pim-2 (serine threonine kinase)| pim-2h| pim-2 oncogene|PIM2 | |
Usage Summary Immunofluorescence: Strong expression of the protein seen in the cytoplasm and membranes of HeLa cells. Recommended concentration: 10µg/ml.
Flow Cytometry: Flow cytometric analysis of HeLa cells. Recommended concentration: 10ug/ml. | |
Accession ID NP_006866.2 | |
Blocking Peptide EBP10834 | |
Immunogen Peptide with sequence C-QTPAEDVPLNPSK, from the C Terminus of the protein sequence according to NP_006866.2. | |
Peptide Sequence C-QTPAEDVPLNPSK | |
Purification Method Purified from goat serum by ammonium sulphate precipitation followed by antigen affinity chromatography using the immunizing peptide. | |
Shipping Instructions Refrigerated | |
Predicted Species Human | |
Reactive Species Human | |
Human Gene ID 11040 | |
Product Grade ![]() | |
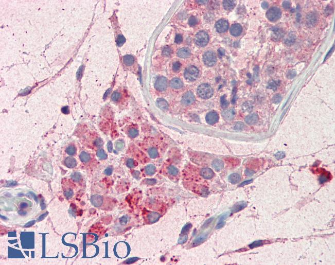
IHC Results Paraffin embedded Human Testis. Recommended concentration: 5µg/ml. | |
ELISA Detection Limit Antibody detection limit dilution 1:16000. | |
Western Blot Approx. 30kDa band observed in lysates of cell line K562 and in preliminary testing of cell lines HeLa and Caco-2 and approx. 30-35kDa observed in lysates of cell line HepG2 (calculated MW of 34.2kDa according to NP_006866.2). Recommended concentration: 0.3-1µg/ml. Primary incubation 1 hour at room temperature. | |
Application Type Pep-ELISA, WB, IHC, IF, FC |
Goat Anti-PIM2 Antibody
$431.00
| SKU | Unit Size | Price |
|---|---|---|
Select a unit size:
Documents |




