Formulation Supplied at 0.5 mg/ml in Tris saline, 0.02% sodium azide, pH7.3 with 0.5% bovine serum albumin.
| |
Unit Size 100 µg | |
Storage Instructions Aliquot and store at -20°C. Minimize freezing and thawing. | |
Synonym / Alias Names pirin (iron-binding nuclear protein)|PIR|pirin | |
Accession ID NP_003653.1 | |
Blocking Peptide EBP06437 | |
Immunogen Peptide with sequence GSSKKVTLSVLSREC, from the N Terminus of the protein sequence according to NP_003653.1. | |
Product Comments Variants (NP_003653.1; NP_001018119.1) encode the same protein | |
Peptide Sequence GSSKKVTLSVLSREC | |
Purification Method Purified from goat serum by ammonium sulphate precipitation followed by antigen affinity chromatography using the immunizing peptide. | |
Shipping Instructions Refrigerated | |
Predicted Species Human, Mouse | |
Reactive Species Human | |
Human Gene ID 8544 | |
Product Grade ![]() | |
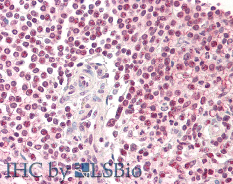
IHC Results Paraffin embedded Human Liver and Spleen. Recommended concentration: 5µg/ml. | |
ELISA Detection Limit Antibody detection limit dilution 1:128000. | |
Western Blot Approx 33kDa band observed in Human Heart lysate (calculated MW of 32.1kDa according to NP_003653.1). Recommended concentration: 0.3 - 1.0 µg/ml. Primary incubation was 1 hour. | |
Application Type Pep-ELISA, WB, IHC |
Goat Anti-Pirin Antibody
$431.00
| SKU | Unit Size | Price |
|---|---|---|
Select a unit size:
Documents |



