Formulation Supplied at 0.5 mg/ml in Tris saline, 0.02% sodium azide, pH7.3 with 0.5% bovine serum albumin.
| |
Unit Size 100 µg | |
Storage Instructions Aliquot and store at -20°C. Minimize freezing and thawing. | |
Synonym / Alias Names piwi homolog; piwi-like 1|MIWI|homolog of Drosophila piwi|piwi (Drosophila)-like 1|piwi-like 1 (Drosophila)|PIWI|HIWI|PIWIL1 | |
Usage Summary Immunofluorescence: Strong expression of the protein seen in the nuclei and cytoplasm of U2OS and HeLa cells. Recommended concentration: 10µg/ml.
Flow Cytometry: Flow cytometric analysis of HeLa cells. Recommended concentration: 10ug/ml. | |
Accession ID NP_004755.2; NP_001177900.1 | |
Blocking Peptide EBP06677 | |
Immunogen Peptide with sequence C-SNRKDKYDAIKKY, from the internal region of the protein sequence according to NP_004755.2; NP_001177900.1. | |
Product Comments This antibody is expected to recognise both reported isoforms (NP_004755.2; NP_001177900.1). | |
Peptide Sequence C-SNRKDKYDAIKKY | |
Purification Method Purified from goat serum by ammonium sulphate precipitation followed by antigen affinity chromatography using the immunizing peptide. | |
Shipping Instructions Refrigerated | |
Predicted Species Human, Mouse, Rat, Dog, Pig, Cow | |
Reactive Species Human | |
Human Gene ID 9271 | |
Mouse Gene ID 57749 | |
Product Grade ![]() | |
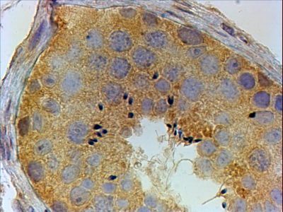
IHC Results In paraffin embedded Human Testis shows textured cytoplasm staining in all germ cells. Recommended concentration: 4-6µg/ml. | |
ELISA Detection Limit Antibody detection limit dilution 1:64000. | |
Application Type Pep-ELISA, IF, IHC, FC |
Goat Anti-PIWI / HIWI Antibody
$431.00
| SKU | Unit Size | Price |
|---|---|---|
Select a unit size:
Documents |




