Formulation Supplied at 0.5 mg/ml in Tris saline, 0.02% sodium azide, pH7.3 with 0.5% bovine serum albumin.
| |
Unit Size 100 µg | |
Storage Instructions Aliquot and store at -20°C. Minimize freezing and thawing. | |
Synonym / Alias Names protein phosphatase 1, regulatory subunit 15A|growth arrest and DNA-damage-inducible 34|protein phosphatase 1, regulatory (inhibitor) subunit 15A|GADD34|PPP1R15A | |
Usage Summary Immunofluorescence: Strong expression of the protein seen in the nuclei of HeLa and HepG2 cells. Recommended concentration: 10µg/ml.
Flow Cytometry: Flow cytometric analysis of HepG2 cells. Recommended concentration: 10ug/ml. | |
Accession ID NP_055145.3 | |
Blocking Peptide EBP05034 | |
Immunogen Peptide with sequence C-AAALDLSGRRG, from the C Terminus of the protein sequence according to NP_055145.3. | |
Peptide Sequence C-AAALDLSGRRG | |
Purification Method Purified from goat serum by ammonium sulphate precipitation followed by antigen affinity chromatography using the immunizing peptide. | |
Shipping Instructions Refrigerated | |
Predicted Species Human | |
Reactive Species Human | |
Human Gene ID 23645 | |
Product Grade ![]() | |
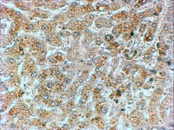
IHC Results In paraffin embedded Human Liver shows cytoplasmic staining consistent with ER in the hepatocytes. Recommended concentration: 2-4µg/ml. | |
ELISA Detection Limit Antibody detection limit dilution 1:128000. | |
Western Blot Approx 75kDa band observed in lysates of cell line HepG2 (calculated MW of 73.4kDa according to NP_055145.2). Recommended concentration: 0.3-1µg/ml. Primary incubation 1 hour at room temperature. Negative Control: KLY (Kelly Human neuroblastoma) cell lysate. | |
Application Type Pep-ELISA, WB, IHC, IF, FC |
Goat Anti-PPP1R15A / GADD34 Antibody
$431.00
| SKU | Unit Size | Price |
|---|---|---|
Select a unit size:
Documents |





