Formulation Supplied at 0.5 mg/ml in Tris saline, 0.02% sodium azide, pH7.3 with 0.5% bovine serum albumin.
| |
Unit Size 100 µg | |
Storage Instructions Aliquot and store at -20°C. Minimize freezing and thawing. | |
Synonym / Alias Names protein phosphatase 2A, regulatory subunit B\1 (PR 53)|protein phosphatase 2A, regulatory subunit B\1|phosphotyrosyl phosphatase activator|PP2A, subunit B\1|PP2A phosphatase activator|OTTHUMP00000022333|PTPA|PR53|PP2A|MGC2184|protein phosphatase 2A activator, regulatory subunit 4|PPP2R4 | |
Accession ID NP_821068.1; NP_066954.2; NP_821070.1 | |
Blocking Peptide EBP09407 | |
Immunogen Peptide with sequence C-GSLLPIHPVTSG, from the C Terminus of the protein sequence according to NP_821068.1; NP_066954.2; NP_821070.1. | |
Product Comments This antibody is expected to recognize all reported isoforms (NP_821068.1; NP_066954.2; NP_821070.1). Reported variants NP_066954.2 and NP_821067.1 represent identical protein. | |
Peptide Sequence C-GSLLPIHPVTSG | |
Purification Method Purified from goat serum by ammonium sulphate precipitation followed by antigen affinity chromatography using the immunizing peptide. | |
Shipping Instructions Refrigerated | |
Predicted Species Human, Mouse, Rat, Dog, Cow | |
Reactive Species Human, Mouse, Rat | |
Human Gene ID 5524 | |
Mouse Gene ID 110854 | |
Rat Gene ID 362102 | |
Product Grade ![]() | |
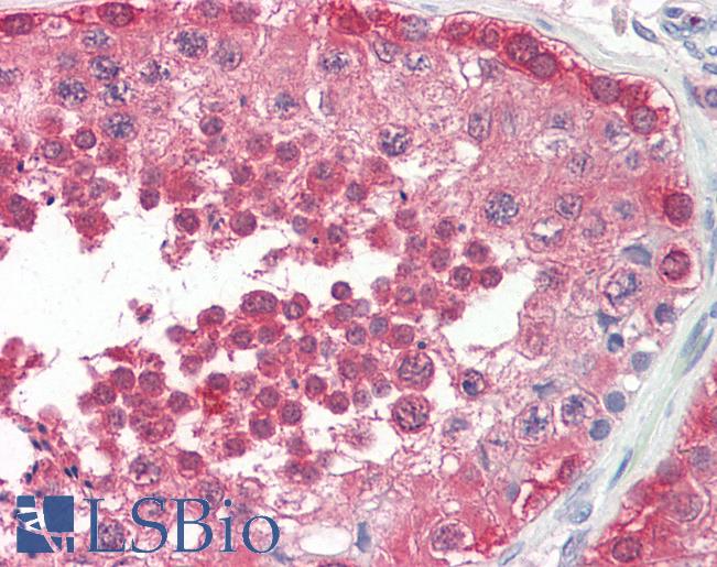
IHC Results Paraffin embedded Human Testis. Recommended concentration: 3.75µg/ml. | |
ELISA Detection Limit Antibody detection limit dilution 1:32000. | |
Western Blot Approx 37kDa band observed in Human, Mouse and Rat Liver lysates and in lysates of cell line HepG2 (calculated MW of 36.8kDa according to NP_066954.2). Recommended concentration: 0.5-2µg/ml. Primary incubation was 1 hour. | |
Application Type Pep-ELISA, WB, IHC |
Goat Anti-PPP2R4 / PP2A Antibody
$431.00
| SKU | Unit Size | Price |
|---|---|---|
Select a unit size:
Documents |


