Formulation Supplied at 0.5 mg/ml in Tris saline, 0.02% sodium azide, pH7.3 with 0.5% bovine serum albumin.
| |
Unit Size 100 µg | |
Storage Instructions Aliquot and store at -20°C. Minimize freezing and thawing. | |
Synonym / Alias Names Protein phosphatase 4, catalytic subunit|PPX|PPH3|PP4|protein phosphatase 4 (formerly X), catalytic subunit|PPP4C | |
Accession ID NP_002711.1 | |
Blocking Peptide EBP09395 | |
Immunogen Peptide with sequence C-PQETRGIPSKKP, from the C Terminus of the protein sequence according to NP_002711.1. | |
Peptide Sequence C-PQETRGIPSKKP | |
Purification Method Purified from goat serum by ammonium sulphate precipitation followed by antigen affinity chromatography using the immunizing peptide. | |
Shipping Instructions Refrigerated | |
Predicted Species Human, Rat, Dog | |
Reactive Species Human, Rat | |
Human Gene ID 5531 | |
Rat Gene ID 171366 | |
Product Grade ![]() | |
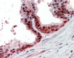
IHC Results In paraffin embedded Human Prostate shows nuclear staining of secretory cells in the gland. Recommended concentration, 2-4µg/ml. | |
ELISA Detection Limit Antibody detection limit dilution 1:16000. | |
Western Blot Approx 35kDa band observed in HEK293, A431 and HeLa lysates and in Rat Spleen and Lung lysates (calculated MW of 35.1kDa according to NP_002711.1). Recommended concentration: 0.1-0.3µg/ml. | |
Application Type Pep-ELISA, WB, IHC |
Goat Anti-PPP4C Antibody
$431.00
| SKU | Unit Size | Price |
|---|---|---|
Select a unit size:
Documents |



