Formulation Supplied at 0.5 mg/ml in Tris saline, 0.02% sodium azide, pH7.3 with 0.5% bovine serum albumin.
| |
Unit Size 100 µg | |
Storage Instructions Aliquot and store at -20°C. Minimize freezing and thawing. | |
Synonym / Alias Names sdr-related gene product that binds to c-kinase|SRBC|MGC20400|HSRBC|protein kinase C, delta binding protein|PRKCDBP | |
Accession ID NP_659477.2 | |
Blocking Peptide EBP09572 | |
Immunogen Peptide with sequence C-RRTGLQKVQSLR, from the internal region of the protein sequence according to NP_659477.2. | |
Peptide Sequence C-RRTGLQKVQSLR | |
Purification Method Purified from goat serum by ammonium sulphate precipitation followed by antigen affinity chromatography using the immunizing peptide. | |
Shipping Instructions Refrigerated | |
Predicted Species Human, Mouse, Rat, Dog, Cow | |
Reactive Species Human, Mouse, Rat | |
Human Gene ID 112464 | |
Mouse Gene ID 109042 | |
Rat Gene ID 85332 | |
Product Grade ![]() | |
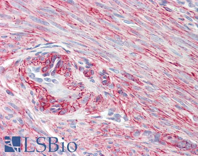
IHC Results Paraffin embedded Human Uterus. Recommended concentration: 3.75µg/ml. | |
ELISA Detection Limit Antibody detection limit dilution 1:32000. | |
Western Blot Approx 38kDa band observed in Human Adipose, in Mouse Ovary and Rat Uterus and in NIH3T3 lysates (calculated MW of 27.7kDa according to Human NP_659477.2, of 27.8kDa according to Mouse NP_082720.1 and of 27.9kDa according to Rat NP_604444.1). The observed molecular weight corresponds to earlier findings in literature with different antibodies (Bastiani M, J Cell Biol. 2009 Jun 29;185(7):1259-73. PMID: 19546242 ). Recommended concentration: 0.1-1µg/ml. Primary incubation was 1 hour. | |
Application Type Pep-ELISA, WB, IHC |
Goat Anti-PRKCDBP Antibody
$431.00
| SKU | Unit Size | Price |
|---|---|---|
Select a unit size:
Documents |



