Formulation Supplied at 0.5 mg/ml in Tris saline, 0.02% sodium azide, pH7.3 with 0.5% bovine serum albumin.
| |
Unit Size 100 µg | |
Storage Instructions Aliquot and store at -20°C. Minimize freezing and thawing. | |
Synonym / Alias Names PREP|prolyl endopeptidase|HGNC:9358|MGC16060|PE|PEP|OTTHUMP00000040498|dJ355L5.1 (prolyl endopeptidase)|post-proline cleaving enzyme | |
Accession ID NP_002717.3 | |
Blocking Peptide EBP07251 | |
Immunogen Peptide with sequence C-QYIVGRSRKQSNP, from the internal region of the protein sequence according to NP_002717.3. | |
Peptide Sequence C-QYIVGRSRKQSNP | |
Purification Method Purified from goat serum by ammonium sulphate precipitation followed by antigen affinity chromatography using the immunizing peptide. | |
Shipping Instructions Refrigerated | |
Predicted Species Human, Mouse, Rat, Dog, Pig, Cow | |
Reactive Species Human | |
Human Gene ID 5550 | |
Mouse Gene ID 19072 | |
Rat Gene ID 83471 | |
Product Grade ![]() | |
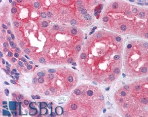
IHC Results Paraffin embedded Human Kidney and Tonsil. Recommended concentration: 3.75µg/ml. | |
ELISA Detection Limit Antibody detection limit dilution 1:16000. | |
Western Blot Preliminary experiments gave an approx 45kDa band in Human Brain, Lymph Node, Spleen and Testis lysates after 0.3µg/ml antibody staining. Please note that currently we cannot find an explanation in the literature for the band we observe given the calculated size of 80.7kDa according to NP_002717.3. The 45kDa band was successfully blocked by incubation with the immunizing peptide. | |
Application Type Pep-ELISA, IHC |
Goat Anti-Prolyl Endopeptidase / PREP Antibody
$431.00
| SKU | Unit Size | Price |
|---|---|---|
Select a unit size:
Documents |


