Formulation Supplied at 0.5 mg/ml in Tris saline, 0.02% sodium azide, pH7.3 with 0.5% bovine serum albumin.
| |
Unit Size 100 µg | |
Storage Instructions Aliquot and store at -20°C. Minimize freezing and thawing. | |
Synonym / Alias Names pumilio homolog 2|OTTHUMP00000200539|MGC138253|MGC138251|FLJ36528|pumilio (Drosphila) homolog 2|pumilio homolog 2 (Drosophila)|KIAA0235|PUML2|PUMH2|PUM2 | |
Accession ID NP_056132.1 | |
Blocking Peptide EBP06679 | |
Immunogen Peptide with sequence C-DQNRDLKQGDDDDSK, from the internal region of the protein sequence according to NP_056132.1. | |
Peptide Sequence C-DQNRDLKQGDDDDSK | |
Purification Method Purified from goat serum by ammonium sulphate precipitation followed by antigen affinity chromatography using the immunizing peptide. | |
Shipping Instructions Refrigerated | |
Predicted Species Human, Cow | |
Reactive Species Human | |
Human Gene ID 23369 | |
Product Grade ![]() | |
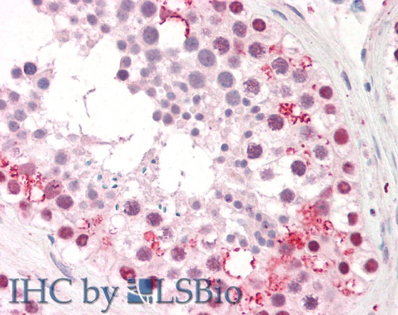
IHC Results Paraffin embedded Human Testis. Recommended concentration: 10µg/ml. | |
ELISA Detection Limit Antibody detection limit dilution 1:4000. | |
Western Blot In transfected HEK293 transiently expressing full-length Human PUM2 (myc and DYKDDDDK tagged), a band of approx. 140kDa was observed. No bands were observed in mock-transfected HEK293 and the same band was observed using anti-DYKDDDDK tag antibody. Recommended concentration 0.3-0.5µg/ml. | |
Application Type Pep-ELISA, WB-Trf, IHC |
Goat Anti-PUM2 Antibody
$431.00
| SKU | Unit Size | Price |
|---|---|---|
Select a unit size:
Documents |


