Formulation Supplied at 0.5 mg/ml in Tris saline, 0.02% sodium azide, pH7.3 with 0.5% bovine serum albumin.
| |
Unit Size 100 µg | |
Storage Instructions Aliquot and store at -20°C. Minimize freezing and thawing. | |
Synonym / Alias Names ran binding protein, centrosomal|novel centrosomal protein RanBPM|RANBPM|RAN binding protein 9|RanBPM|RANBP9 | |
Usage Summary Immunocytochemistry: A customer reported successful use on HeLa. | |
Accession ID NP_005484.2 | |
Blocking Peptide EBP06028 | |
Immunogen Peptide with sequence GSCAFATVEDYLH, from the C Terminus of the protein sequence according to NP_005484.2. | |
Product Comments This product is also expected to recognize the centrosome-associated truncated isoform RANBPM (BAA23216.1). | |
Peptide Sequence GSCAFATVEDYLH | |
Purification Method Purified from goat serum by ammonium sulphate precipitation followed by antigen affinity chromatography using the immunizing peptide. | |
Shipping Instructions Refrigerated | |
Predicted Species Human, Mouse, Dog, Pig | |
Reactive Species Human | |
Human Gene ID 10048 | |
Mouse Gene ID 56705 | |
Product Grade ![]() | |
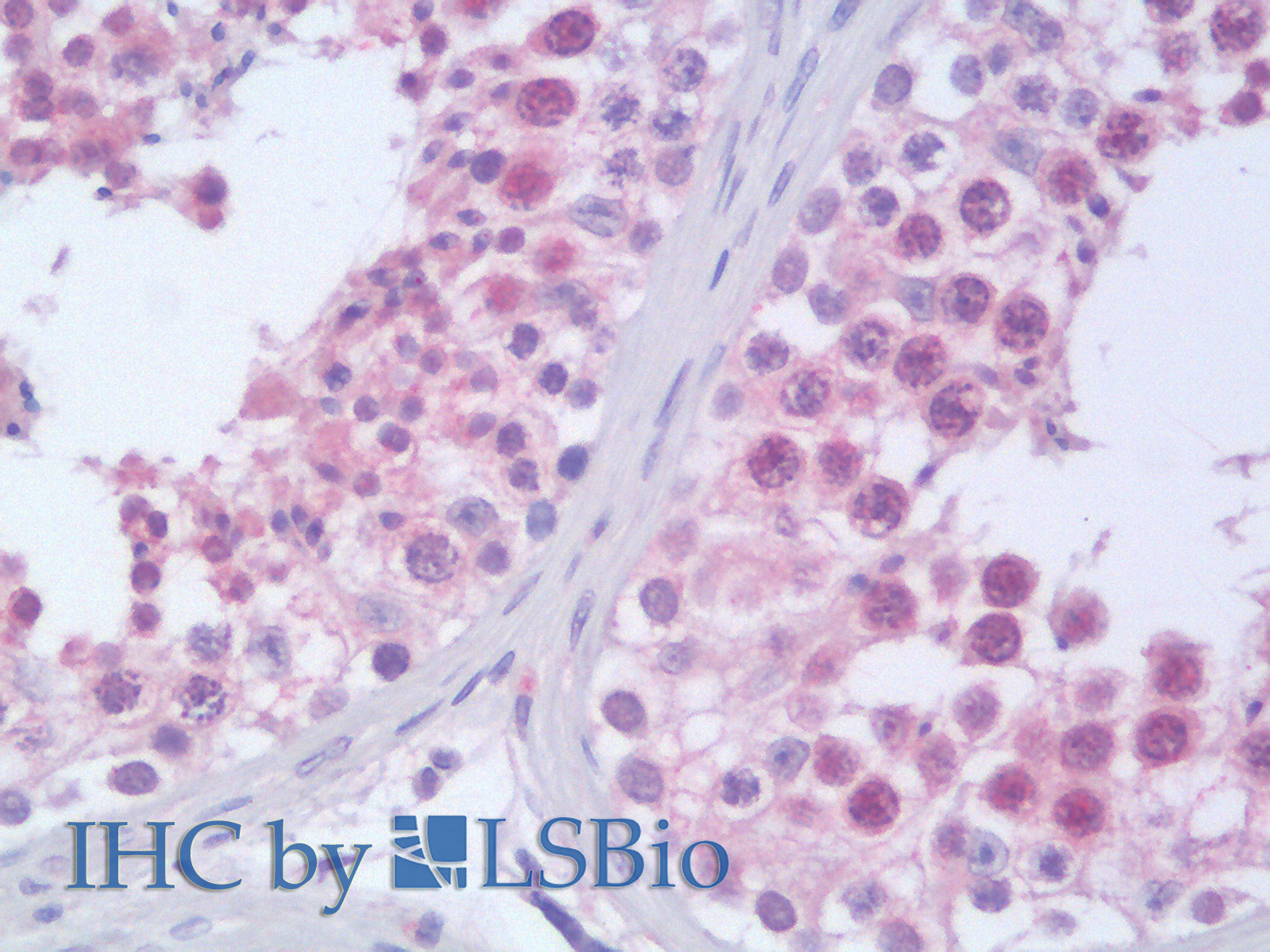
IHC Results In paraffin embedded Human Tonsil stains nuclei in epithelial cells of tonsillar criptae. Recommended concentration: 3µg/ml. Paraffin embedded Human Testis. Recommended concentration: 10µg/ml. | |
ELISA Detection Limit Antibody detection limit dilution 1:16000. | |
Western Blot Preliminary experiments gave no signal but low background in whole cell Hela lysates at up to 1µg/ml. | |
Application Type Pep-ELISA, IHC, ICC |
Goat Anti-RANBPM / RANBP9 Antibody
$431.00
| SKU | Unit Size | Price |
|---|---|---|
Select a unit size:
Documents |


