Formulation Supplied at 0.5 mg/ml in Tris saline, 0.02% sodium azide, pH7.3 with 0.5% bovine serum albumin.
| |
Unit Size 100 µg | |
Storage Instructions Aliquot and store at -20°C. Minimize freezing and thawing. | |
Synonym / Alias Names segregation distortion|segregation distorter homolog|OTTHUMP00000198757|OTTHUMP00000198756|SD|MGC20266|Fug1|Ran GTPase activating protein 1|KIAA1835|RANGAP1 | |
Accession ID NP_002874.1 | |
Blocking Peptide EBP06253 | |
Immunogen Peptide with sequence ASEDIAKLAETLAK-C, from the N Terminus of the protein sequence according to NP_002874.1. | |
Product Comments Please note that in mouse, there is a hypothetical protein called "similar to RANGAP1" (XP_139737.2) that is virtually identical. | |
Peptide Sequence ASEDIAKLAETLAK-C | |
Purification Method Purified from goat serum by ammonium sulphate precipitation followed by antigen affinity chromatography using the immunizing peptide. | |
Shipping Instructions Refrigerated | |
Predicted Species Human, Mouse, Rat, Dog, Cow | |
Reactive Species Human, Mouse | |
Human Gene ID 5905 | |
Mouse Gene ID 19387 | |
Product Grade ![]() | |
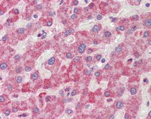
IHC Results In paraffin embedded Human Liver shows vesicular staining in the cytoplasm of hepatocytes. Recommended concentration: 2-4µg/ml. | |
ELISA Detection Limit Antibody detection limit dilution 1:32000. | |
Western Blot Approx 70kDa band observed in 3T3 lysates (predicted MW of 68kDa according to NP_002874). Recommended for use at 0.1-0.5µg/ml. | |
Application Type Pep-ELISA, WB, IHC |
Goat Anti-RANGAP1 Antibody
$431.00
| SKU | Unit Size | Price |
|---|---|---|
Select a unit size:
Documents |


