Formulation Supplied at 0.5 mg/ml in Tris saline, 0.02% sodium azide, pH7.3 with 0.5% bovine serum albumin.
| |
Unit Size 100 µg | |
Storage Instructions Aliquot and store at -20°C. Minimize freezing and thawing. | |
Synonym / Alias Names tumor suppressor protein RDA32|pancreas-specific ras association domain family 1 protein|cardiac-specific ras association domain family 1 protein|WUGSC:H_LUCA12.5|Ras association domain family protein 1|Ras association domain family 1|Ras association (RalGDS/AF-6) domain family 1|OTTHUMP00000195503|REH3P21|RDA32|RASSF1A|NORE2A|123F2|Ras association (RalGDS/AF-6) domain family member 1|RASSF1 | |
Accession ID NP_009113.3; NP_733830.1; NP_733831.1; NP_733832.1 | |
Blocking Peptide EBP09171 | |
Immunogen Peptide with sequence C-SQAEIEQKIKEYN, from the internal region of the protein sequence according to NP_009113.3; NP_733830.1; NP_733831.1; NP_733832.1. | |
Product Comments This antibody is expected to recognize reported isoforms A, C and D (NP_009113.3; NP_733831.1; NP_733832.1) . | |
Peptide Sequence C-SQAEIEQKIKEYN | |
Purification Method Purified from goat serum by ammonium sulphate precipitation followed by antigen affinity chromatography using the immunizing peptide. | |
Shipping Instructions Refrigerated | |
Predicted Species Human, Mouse, Rat, Dog, Cow | |
Reactive Species Human | |
Human Gene ID 11186 | |
Product Grade ![]() | |
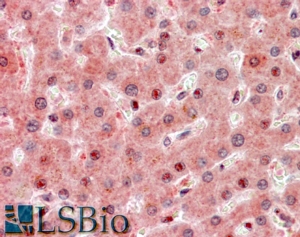
IHC Results In paraffin embedded Human Liver shows preferential nuclear staining in hepatocytes. Paraffin embedded Human Brain (Cortex). Recommended concentration: 3.75µg/ml. | |
ELISA Detection Limit Antibody detection limit dilution 1:128000. | |
Application Type Pep-ELISA, IHC |
Goat Anti-RASSF1A Antibody
$431.00
| SKU | Unit Size | Price |
|---|---|---|
Select a unit size:
Documents |


