Formulation Supplied at 0.5 mg/ml in Tris saline, 0.02% sodium azide, pH7.3 with 0.5% bovine serum albumin.
| |
Unit Size 100 µg | |
Storage Instructions Aliquot and store at -20°C. Minimize freezing and thawing. | |
Synonym / Alias Names RCBTB2|regulator of chromosome condensation (RCC1) and BTB (POZ) domain containing protein 2|CHC1L|OTTHUMP00000018399|RCC1-like G exchanging factor RLG|chromosome condensation 1-like|regulator of chromosome condensation and BTB domain containing protein 2 | |
Accession ID NP_001259.1 | |
Blocking Peptide EBP09067 | |
Immunogen Peptide with sequence CEHFRSSLEDNEDD, from the internal region of the protein sequence according to NP_001259.1. | |
Product Comments This antibody is not expected to cross-react with RCBTB1. | |
Peptide Sequence CEHFRSSLEDNEDD | |
Purification Method Purified from goat serum by ammonium sulphate precipitation followed by antigen affinity chromatography using the immunizing peptide. | |
Shipping Instructions Refrigerated | |
Predicted Species Human, Mouse, Rat, Cow, Pig | |
Reactive Species Human | |
Human Gene ID 1102 | |
Mouse Gene ID 105670 | |
Rat Gene ID 290363 | |
Product Grade ![]() | |
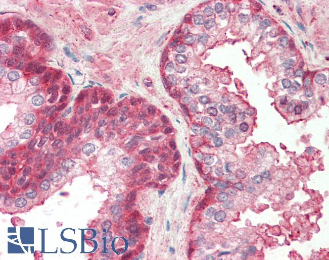
IHC Results Paraffin embedded Human Testis and Prostate. Recommended concentration: 5µg/ml. | |
ELISA Detection Limit Antibody detection limit dilution 1:2000. | |
Western Blot Preliminary experiments gave an approx. 30kDa band in Human Liver, Lung and Tonsil lysates after 1µg/ml antibody staining. Please note that currently we cannot find an explanation in the literature for the band we observe given the calculated size of 60.3kDa according to NP_001259.1. The 30kDa band was successfully blocked by incubation with the immunizing peptide. | |
Application Type Pep-ELISA, IHC |
Goat Anti-RCBTB2 Antibody
$431.00
| SKU | Unit Size | Price |
|---|---|---|
Select a unit size:
Documents |


