Formulation Supplied at 0.5 mg/ml in Tris saline, 0.02% sodium azide, pH7.3 with 0.5% bovine serum albumin.
| |
Unit Size 100 µg | |
Storage Instructions Aliquot and store at -20°C. Minimize freezing and thawing. | |
Synonym / Alias Names ret proto-oncogene|receptor tyrosine kinase|proto-oncogene|oncogene RET|hydroxyaryl-protein kinase|fusion gene|cadherin family member 12|RET transforming sequence|RET51|RET-ELE1|PTC|MTC1|MEN2B|MEN2A|HSCR1|CDHF12|HGNC:9967|ret proto-oncogene (multiple endocrine neoplasia and medullary thyroid carcinoma 1, Hirschsprung disease)|RET | |
Usage Summary Immunofluorescence: Strong expression of the protein seen in the cytoplasm of U251 cells. Recommended concentration: 10µg/ml.
Flow Cytometry: Flow cytometric analysis of Kelly cells. Recommended concentration: 10ug/ml. | |
Accession ID NP_066124.1; NP_065681.1; NP_001342145.1 | |
Blocking Peptide EBP07233 | |
Immunogen Peptide with sequence NDTKALRRPKCAELH, from the internal region of the protein sequence according to NP_066124.1; NP_065681.1; NP_001342145.1. | |
Peptide Sequence NDTKALRRPKCAELH | |
Purification Method Purified from goat serum by ammonium sulphate precipitation followed by antigen affinity chromatography using the immunizing peptide. | |
Shipping Instructions Refrigerated | |
Predicted Species Human | |
Reactive Species Human | |
Human Gene ID 5979 | |
Product Grade ![]() | |
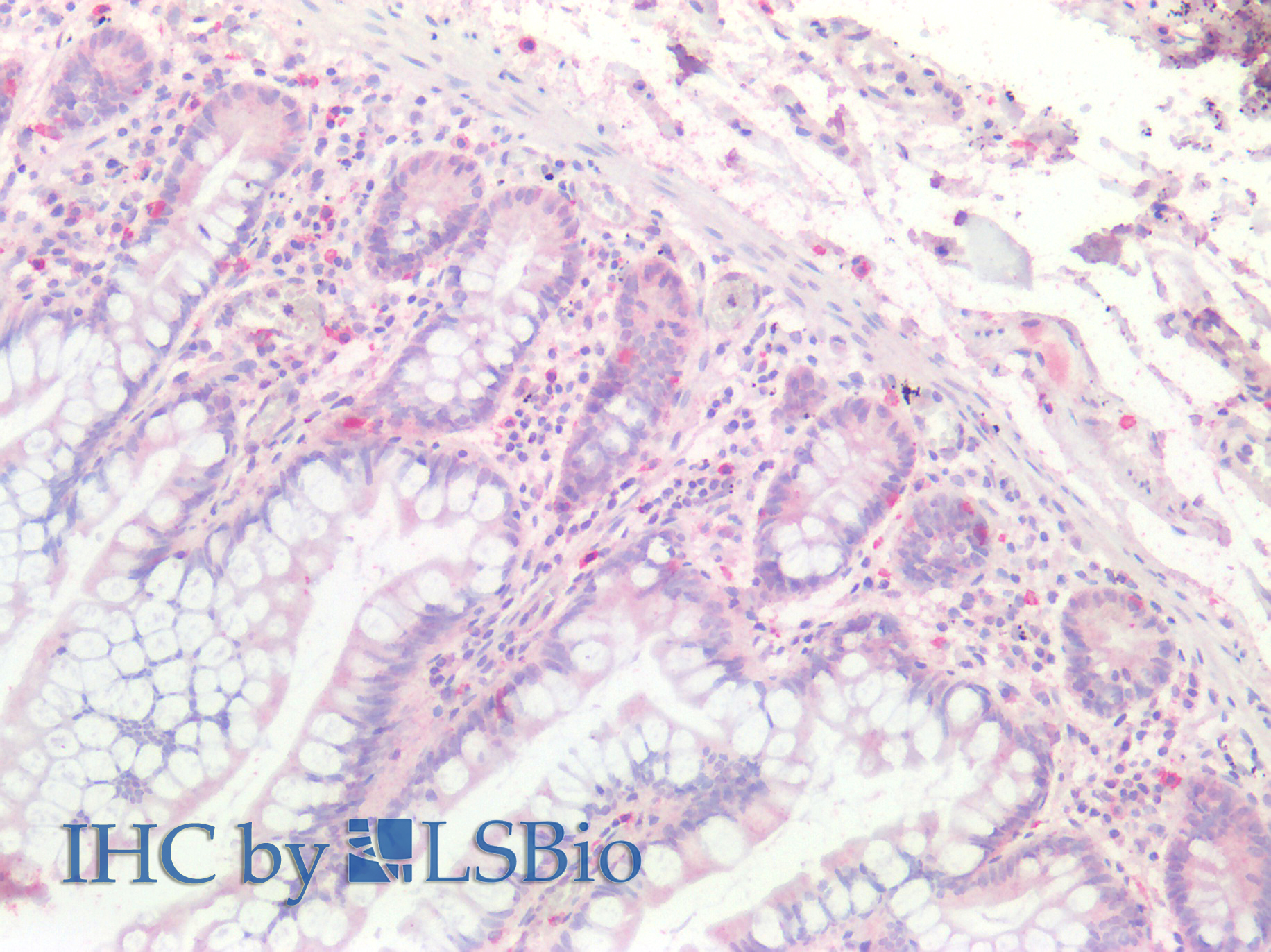
IHC Results Paraffin embedded Small Intestine. Recommended concentration: 5µg/ml. | |
ELISA Detection Limit Antibody detection limit dilution 1:64000. | |
Application Type Pep-ELISA, IF, IHC, FC |
Goat Anti-RET Antibody
$423.00
| SKU | Unit Size | Price |
|---|---|---|
Select a unit size:



