Formulation Supplied at 0.5 mg/ml in Tris saline, 0.02% sodium azide, pH7.3 with 0.5% bovine serum albumin.
| |
Unit Size 100 µg | |
Storage Instructions Aliquot and store at -20°C. Minimize freezing and thawing. | |
Synonym / Alias Names RGS18|RGS13|regulator of G-protein signalling 18|regulator of G-protein signaling 13|RP11-142L4.1|regulator of G-protein signalling 13 | |
Accession ID NP_570138.1 | |
Blocking Peptide EBP06372 | |
Immunogen Peptide with sequence CNEFQDVQSDVAIWL, from the C Terminus of the protein sequence according to NP_570138.1. | |
Peptide Sequence CNEFQDVQSDVAIWL | |
Purification Method Purified from goat serum by ammonium sulphate precipitation followed by antigen affinity chromatography using the immunizing peptide. | |
Shipping Instructions Refrigerated | |
Predicted Species Human | |
Reactive Species Human | |
Human Gene ID 64407 | |
Product Grade ![]() | |
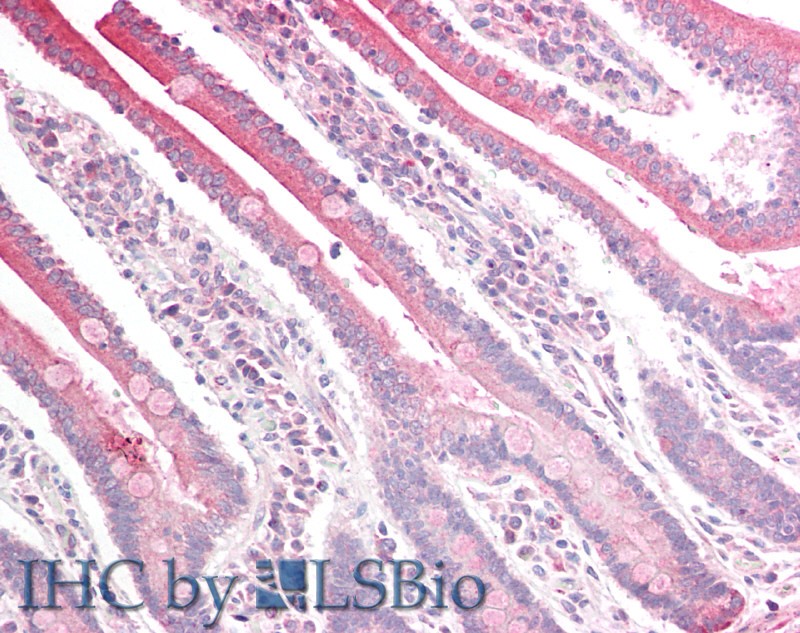
IHC Results Paraffin embedded Human Prostate and Small Intestine. Recommended concentration: 5µg/ml. | |
ELISA Detection Limit Antibody detection limit dilution 1:16000. | |
Western Blot Approx 28kDa band observed in Human Peripheral Blood Mononucleocytes (lymphocytes) lysates (calculated MW of 27.6kDa according to NP_570138.1). Recommended concentration: 1-3µg/ml. Primary incubation was 1 hour. | |
Application Type Pep-ELISA, WB, IHC |
Goat Anti-RGS18 Antibody
$431.00
| SKU | Unit Size | Price |
|---|---|---|
Select a unit size:
Documents |



