Formulation Supplied at 0.5 mg/ml in Tris saline, 0.02% sodium azide, pH7.3 with 0.5% bovine serum albumin.
| |
Unit Size 100 µg | |
Storage Instructions Aliquot and store at -20°C. Minimize freezing and thawing. | |
Synonym / Alias Names RHCG|SLC42A3|RHGK|Rhesus blood group, C glycoprotein|Rh type C glycoprotein|Rh family, C glycoprotein|PDRC2|C15orf6 | |
Accession ID NP_057405.1 | |
Blocking Peptide EBP10365 | |
Immunogen Peptide with sequence C-ERQNSVYQSD, from the internal region of the protein sequence according to NP_057405.1. | |
Peptide Sequence C-ERQNSVYQSD | |
Purification Method Purified from goat serum by ammonium sulphate precipitation followed by antigen affinity chromatography using the immunizing peptide. | |
Shipping Instructions Refrigerated | |
Predicted Species Human, Dog, Pig | |
Reactive Species Human | |
Human Gene ID 51458 | |
Product Grade ![]() | |
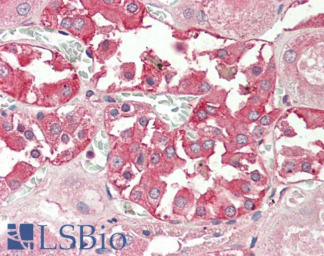
IHC Results Paraffin embedded Human Tonsil and Kidney. Recommended concentration: 5µg/ml. | |
ELISA Detection Limit Antibody detection limit dilution 1:16000. | |
Western Blot Approx 60kDa band observed in Human Testis lysates (calculated MW of 53.2kDa according to NP_057405.1). The observed molecular weight corresponds to earlier findings in literature with different antibodies (Liu et al, J Biol Chem. 2000 Aug 18;275(33):25641-51;PMID: 10852913). Recommended concentration: 1-3µg/ml. Primary incubation was 1 hour. | |
Application Type Pep-ELISA, WB, IHC |
Goat Anti-RHCG Antibody
$431.00
| SKU | Unit Size | Price |
|---|---|---|
Select a unit size:
Documents |



