Formulation Supplied at 0.5 mg/ml in Tris saline, 0.02% sodium azide, pH7.3 with 0.5% bovine serum albumin.
| |
Unit Size 100 µg | |
Storage Instructions Aliquot and store at -20°C. Minimize freezing and thawing. | |
Synonym / Alias Names L8|RPL8|60S ribosomal protein L8|ribosomal protein L8 | |
Accession ID NP_000964.1 | |
Blocking Peptide EBP07869 | |
Immunogen Peptide with sequence KAGRAYHKYKAKRNC, from the internal region of the protein sequence according to NP_000964.1. | |
Product Comments The reported variants represent identical protein (NP_000964.1 and NP_150644.1). | |
Peptide Sequence KAGRAYHKYKAKRNC | |
Purification Method Purified from goat serum by ammonium sulphate precipitation followed by antigen affinity chromatography using the immunizing peptide. | |
Shipping Instructions Refrigerated | |
Predicted Species Human, Mouse, Rat, Dog | |
Reactive Species Human | |
Human Gene ID 6132 | |
Mouse Gene ID 26961 | |
Rat Gene ID 26962 | |
Product Grade ![]() | |
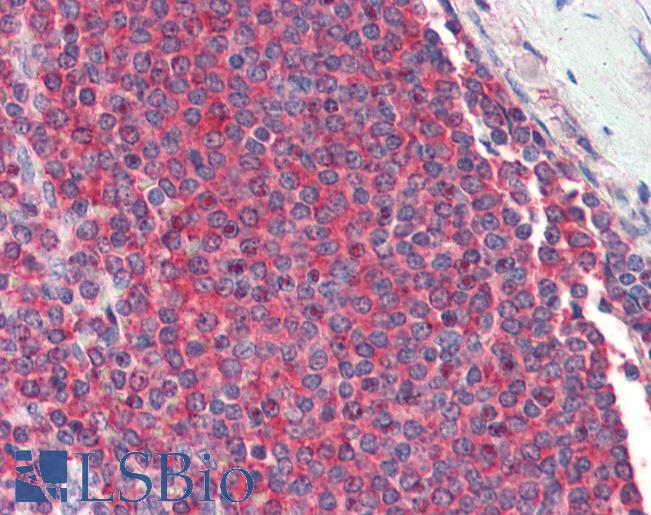
IHC Results Paraffin embedded Human Cerebral Cortex and Spleen. Recommended concentration: 2.5µg/ml. | |
ELISA Detection Limit Antibody detection limit dilution 1:128000. | |
Western Blot Approx 28-30kDa band observed in lysates of cell line HepG2 (calculated MW of 28.0kDa according to NP_000964.1 and NP_150644.1). Recommended concentration: 0.01-0.03µg/ml. Primary incubation was 1 hour. | |
Application Type Pep-ELISA, WB, IHC |
Goat Anti-ribosomal protein L8 Antibody
$431.00
| SKU | Unit Size | Price |
|---|---|---|
Select a unit size:
Documents |



