Formulation Supplied at 0.5 mg/ml in Tris saline, 0.02% sodium azide, pH7.3 with 0.5% bovine serum albumin.
| |
Unit Size 100 µg | |
Storage Instructions Aliquot and store at -20°C. Minimize freezing and thawing. | |
Synonym / Alias Names Rif1|telomere-associated protein RIF1 homolog|Rap1 interacting factor 1 | |
Accession ID NP_060621.3 | |
Blocking Peptide EBP06542 | |
Immunogen Peptide with sequence CEEGIIDANKTETNT, from the internal region of the protein sequence according to NP_060621.3. | |
Product Comments This antibody is expected to recognise an epitope corresponding to aa 2076-2089 of human RIF1 protein. | |
Peptide Sequence CEEGIIDANKTETNT | |
Purification Method Purified from goat serum by ammonium sulphate precipitation followed by antigen affinity chromatography using the immunizing peptide. | |
Shipping Instructions Refrigerated | |
Predicted Species Human | |
Reactive Species Human | |
Human Gene ID 55183 | |
Product Grade ![]() | |
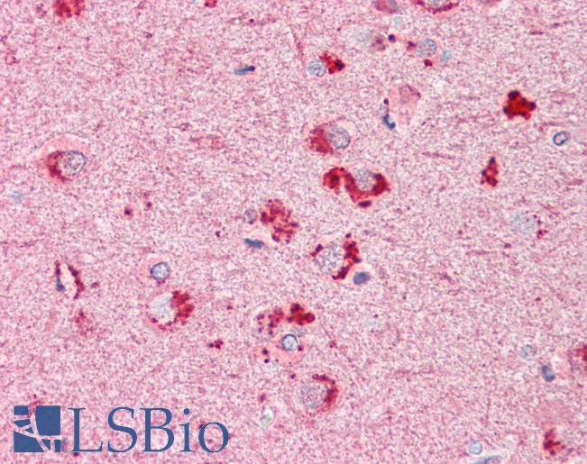
IHC Results Paraffin embedded Human Testis and Brain (Cortex). Recommended concentration: 1-2µg/ml. | |
ELISA Detection Limit Antibody detection limit dilution 1:16000. | |
Western Blot Not yet tested - our routinely used western blotting protocol does not allow detection of proteins as large as the predicted size of approx. 247kDa according to NP_060621. Therefore we cannot recommend an optimal concentration. | |
Application Type Pep-ELISA, IHC |
Goat Anti-RIF1 (aa 2076-2089) Antibody
$431.00
| SKU | Unit Size | Price |
|---|---|---|
Select a unit size:
Documents |


