Formulation Supplied at 0.5 mg/ml in Tris saline, 0.02% sodium azide, pH7.3 with 0.5% bovine serum albumin.
| |
Unit Size 100 µg | |
Storage Instructions Aliquot and store at -20°C. Minimize freezing and thawing. | |
Synonym / Alias Names neurotrophic tyrosine kinase receptor-related 1|dJ537F10.1|NTRKR1|MGC99659|receptor tyrosine kinase-like orphan receptor 1|ROR1 | |
Accession ID NP_005003.2 | |
Blocking Peptide EBP09144 | |
Immunogen Peptide with sequence C-GNKSQKPYKIDSKQA, from the C-Terminus (near) of the protein sequence according to NP_005003.2. | |
Product Comments This antibody is expected to recognize isoform 1 (NP_005003.2) only. | |
Peptide Sequence C-GNKSQKPYKIDSKQA | |
Purification Method Purified from goat serum by ammonium sulphate precipitation followed by antigen affinity chromatography using the immunizing peptide. | |
Shipping Instructions Refrigerated | |
Predicted Species Human, Mouse, Rat | |
Reactive Species Human | |
Human Gene ID 4919 | |
Mouse Gene ID 26563 | |
Rat Gene ID 362550 | |
Product Grade ![]() | |
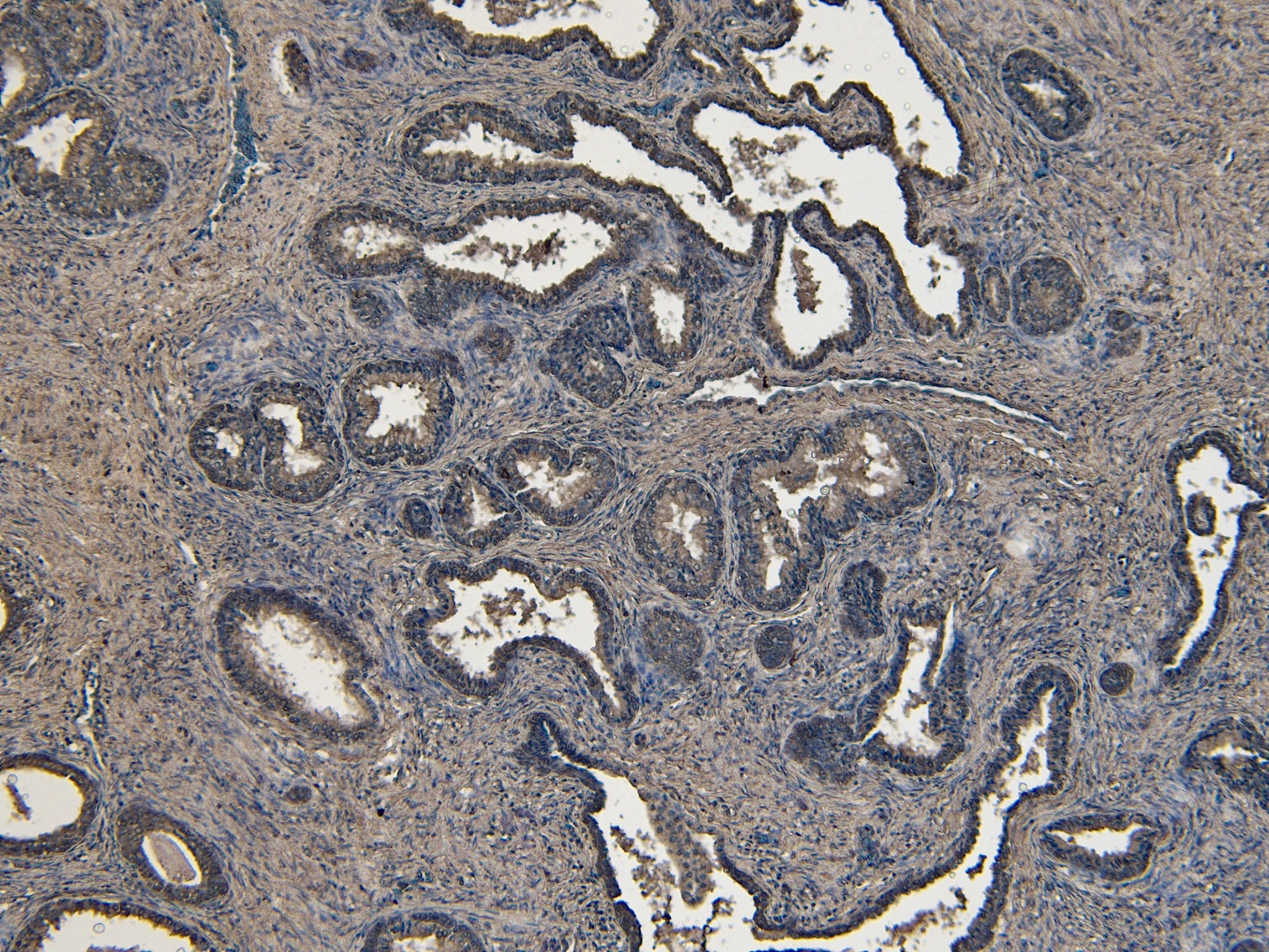
IHC Results Paraffin embedded Human Prostate. Recommended concentration: 4-6µg/ml. | |
ELISA Detection Limit Antibody detection limit dilution 1:128000. | |
Application Type Pep-ELISA, IHC |
Goat Anti-ROR1 Antibody
$431.00
| SKU | Unit Size | Price |
|---|---|---|
Select a unit size:
Documents |


