Formulation Supplied at 0.5 mg/ml in Tris saline, 0.02% sodium azide, pH7.3 with 0.5% bovine serum albumin.
| |
Unit Size 100 µg | |
Storage Instructions Aliquot and store at -20°C. Minimize freezing and thawing. | |
Synonym / Alias Names RPL23|rpL17|ribosomal protein L23|ribosomal protein L17|OTTHUMP00000164153|OTTHUMP00000164151|MGC72008|MGC117346|MGC111167|L23|60S ribosomal protein L23|60S ribosomal protein L17 | |
Accession ID NP_000969.1 | |
Blocking Peptide EBP11851 | |
Immunogen Peptide with sequence KECADLWPRIASN, from the C Terminus of the protein sequence according to NP_000969.1. | |
Peptide Sequence KECADLWPRIASN | |
Purification Method Purified from goat serum by ammonium sulphate precipitation followed by antigen affinity chromatography using the immunizing peptide. | |
Shipping Instructions Refrigerated | |
Predicted Species Human, Mouse, Rat, Pig, Cow | |
Reactive Species Human, Mouse | |
Human Gene ID 9349 | |
Mouse Gene ID 65019 | |
Rat Gene ID 29282 | |
Product Grade ![]() | |
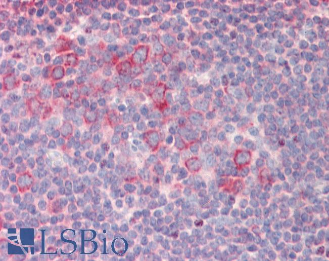
IHC Results Paraffin embedded Human Tonsil and Liver. Recommended concentration: 5µg/ml. | |
ELISA Detection Limit Antibody detection limit dilution 1:128000. | |
Western Blot Approx 16kDa band observed in lysates of Human Colorectal Cancer and of cell lines NIH3T3 and HeLa (calculated MW of 14.9kDa according to NP_000969.1). Recommended concentration: 0.1-0.3µg/ml. Primary incubation was 1 hour. | |
Application Type Pep-ELISA, WB, IHC |
Goat Anti-RPL23 Antibody
$431.00
| SKU | Unit Size | Price |
|---|---|---|
Select a unit size:
Documents |



