Formulation Supplied at 0.5 mg/ml in Tris saline, 0.02% sodium azide, pH7.3 with 0.5% bovine serum albumin.
| |
Unit Size 100 µg | |
Storage Instructions Aliquot and store at -20°C. Minimize freezing and thawing. | |
Synonym / Alias Names antigen NY-CO-8|BBS16|CCCAP|centrosomal colon cancer autoantigen protein|hCCCAP|NPHP10|NY-CO-8|OTTHUMP00000037913|SDCCAG8|serologically defined colon cancer antigen 8|SLSN7 | |
Accession ID NP_006633.1 | |
Blocking Peptide EBP11471 | |
Immunogen Peptide with sequence C-TINDQSQYIHHLEAE, from the internal region of the protein sequence according to NP_006633.1. | |
Peptide Sequence C-TINDQSQYIHHLEAE | |
Purification Method Purified from goat serum by ammonium sulphate precipitation followed by antigen affinity chromatography using the immunizing peptide. | |
Shipping Instructions Refrigerated | |
Predicted Species Human, Mouse, Rat, Dog, Pig | |
Reactive Species Human | |
Human Gene ID 10806 | |
Mouse Gene ID 76816 | |
Rat Gene ID 305002 | |
Product Grade ![]() | |
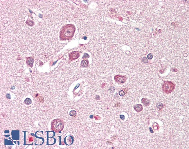
IHC Results Paraffin embedded Human Brain (Cortex). Recommended concentration: 5µg/ml. | |
ELISA Detection Limit Antibody detection limit dilution 1:128000. | |
Western Blot Approx 80kDa band observed in lysates of cell line HEK293 (calculated MW of 82.7kDa according to NP_006633.1). Recommended concentration: 0.3-1µg/ml. Primary incubation was 1 hour. | |
Application Type Pep-ELISA, WB, IHC |
Goat Anti-SDCCAG8 Antibody
$431.00
| SKU | Unit Size | Price |
|---|---|---|
Select a unit size:
Documents |


