Formulation Supplied at 0.5 mg/ml in Tris saline, 0.02% sodium azide, pH7.3 with 0.5% bovine serum albumin.
| |
Unit Size 100 µg | |
Storage Instructions Aliquot and store at -20°C. Minimize freezing and thawing. | |
Synonym / Alias Names serologically defined breast cancer antigen NY-BR-24|differentiation 6 (deoxyguanosine triphosphate triphosphohydrolase)|SEP1|PNUTL3|MGC20394|LARP|DIFF6|septin 1|SEPT1 | |
Accession ID NP_443070.6 | |
Blocking Peptide EBP07412 | |
Immunogen Peptide with sequence C-GARDRASRSKLSRQ, from the internal region of the protein sequence according to NP_443070.6. | |
Peptide Sequence C-GARDRASRSKLSRQ | |
Purification Method Purified from goat serum by ammonium sulphate precipitation followed by antigen affinity chromatography using the immunizing peptide. | |
Shipping Instructions Refrigerated | |
Predicted Species Human, Mouse, Rat, Dog | |
Reactive Species Human | |
Human Gene ID 1731 | |
Mouse Gene ID 54204 | |
Rat Gene ID 293507 | |
Product Grade ![]() | |
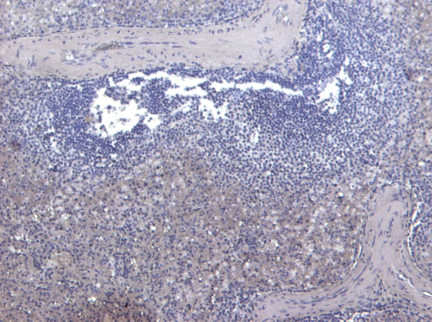
IHC Results Paraffin embedded Human Spleen. Recommended concentration: 6-8µg/ml. | |
ELISA Detection Limit Antibody detection limit dilution 1:32000. | |
Western Blot Approx 42-45kDa band observed in lysates of cell lines HEK293 and MOLT-4 (calculated MW of 42.4kDa according to NP_443070.6). Recommended concentration: 1-3µg/ml. Primary incubation 1 hour. at room temperature. | |
Application Type Pep-ELISA, WB, IHC |
Goat Anti-Septin 1 / SEPT1 Antibody
$431.00
| SKU | Unit Size | Price |
|---|---|---|
Select a unit size:
Documents |



