Formulation Supplied at 0.5 mg/ml in Tris saline, 0.02% sodium azide, pH7.3 with 0.5% bovine serum albumin.
| |
Unit Size 100 µg | |
Storage Instructions Aliquot and store at -20°C. Minimize freezing and thawing. | |
Synonym / Alias Names serine (or cysteine) prot|protease inhibitor 2 (anti-elastase), monocyte/neutrophil derived|peptidase inhibitor 2|leukocyte elastase inhibitor|PI2|PI-2|MNEI|M/NEI|LEI|ELANH2|EI|serpin peptidase inhibitor, clade B (ovalbumin), member 1|SERPINB1 | |
Accession ID NP_109591.1 | |
Blocking Peptide EBP12397 | |
Immunogen Peptide with sequence C-KTINQWVKGQTEGK, from the internal region of the protein sequence according to NP_109591.1. | |
Peptide Sequence C-KTINQWVKGQTEGK | |
Purification Method Purified from goat serum by ammonium sulphate precipitation followed by antigen affinity chromatography using the immunizing peptide. | |
Shipping Instructions Refrigerated | |
Predicted Species Human | |
Reactive Species Human | |
Human Gene ID 1992 | |
Product Grade ![]() | |
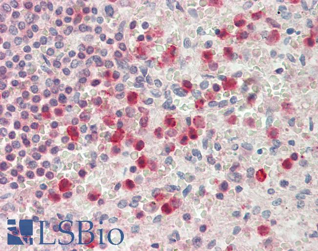
IHC Results Paraffin embedded Human Spleen (neutrophils). Recommended concentration: 5µg/ml. | |
ELISA Detection Limit Antibody detection limit dilution 1:64000. | |
Western Blot Approx 42-45kDa bands observed in Human Placenta lysates (calculated MW of 42.7kDa according to NP_109591.1). The fainter 45kDa band likely represents the acetylated form. Both bands are blocked by the immunizing peptide. Recommended concentration: 0.5-2µg/ml. | |
Application Type Pep-ELISA, WB, IHC |
Goat Anti-SERPINB1 (aa130-143) Antibody
$431.00
| SKU | Unit Size | Price |
|---|---|---|
Select a unit size:
Documents |


