Formulation Supplied at 0.5 mg/ml in Tris saline, 0.02% sodium azide, pH7.3 with 0.5% bovine serum albumin.
| |
Unit Size 100 µg | |
Storage Instructions Aliquot and store at -20°C. Minimize freezing and thawing. | |
Synonym / Alias Names HLA-DR-associated protein II|template-activating factor I|protein phosphatase type 2A inhibitor|inhibitor-2 of protein phosphatase-2A|inhibitor of granzyme A-activated DNase|Template-Activating Factor-I, chromatin remodelling factor|SET translocation (myeloid leukemia-associated)|OTTHUMP00000022286|LA-DR-associated protein II|TAF-IBETA|TAF-I|PHAPII|IPP2A2|IGAAD|I2PP2A|2PP2A|SET nuclear oncogene|SET | |
Accession ID NP_003002.2 | |
Blocking Peptide EBP05148 | |
Immunogen Peptide with sequence SAPAAKVSKKELNS-C, from the N Terminus of the protein sequence according to NP_003002.2. | |
Product Comments This antibody is expected to recognize isoform 2 (NP_003002.2). | |
Peptide Sequence SAPAAKVSKKELNS-C | |
Purification Method Purified from goat serum by ammonium sulphate precipitation followed by antigen affinity chromatography using the immunizing peptide. | |
Shipping Instructions Refrigerated | |
Predicted Species Human, Cow | |
Reactive Species Human | |
Human Gene ID 6418 | |
Product Grade ![]() | |
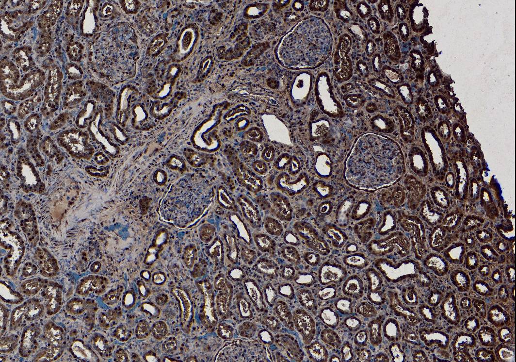
IHC Results Paraffin embedded Human Kidney. Recommended concentration: 7µg/ml. | |
ELISA Detection Limit Antibody detection limit dilution 1:128000. | |
Western Blot Approx 38kDa band observed in lysates of Human Kidney lysates and of cell lines Daudi and Molt4 (calculated MW of 32.1kDa according to NP_003002.2). Recommended concentration: 0.3-1µg/ml. Primary incubation was 1 hour. | |
Application Type Pep-ELISA, WB, IHC |
Goat Anti-SET / I2 alpha PP2A Antibody
$431.00
| SKU | Unit Size | Price |
|---|---|---|
Select a unit size:
Documents |




