Formulation Supplied at 0.5 mg/ml in Tris saline, 0.02% sodium azide, pH7.3 with 0.5% bovine serum albumin.
| |
Unit Size 100 µg | |
Storage Instructions Aliquot and store at -20°C. Minimize freezing and thawing. | |
Synonym / Alias Names solute carrier family 10, member 2|ileal sodium-dependent bile acid transporter|ileal apical sodium-dependent bile acid transporter|ISBT|ASBT|solute carrier family 10 (sodium/bile acid cotransporter family), member 2|Slc10a2 | |
Accession ID NP_035518.1 | |
Blocking Peptide EBP08819 | |
Immunogen Peptide with sequence C-DETNKGFQPDEK, from the C Terminus of the protein sequence according to NP_035518.1. | |
Peptide Sequence C-DETNKGFQPDEK | |
Purification Method Purified from goat serum by ammonium sulphate precipitation followed by antigen affinity chromatography using the immunizing peptide. | |
Shipping Instructions Refrigerated | |
Predicted Species Mouse | |
Reactive Species Mouse | |
Mouse Gene ID 20494 | |
Rat Gene ID 29500 | |
Product Grade ![]() | |
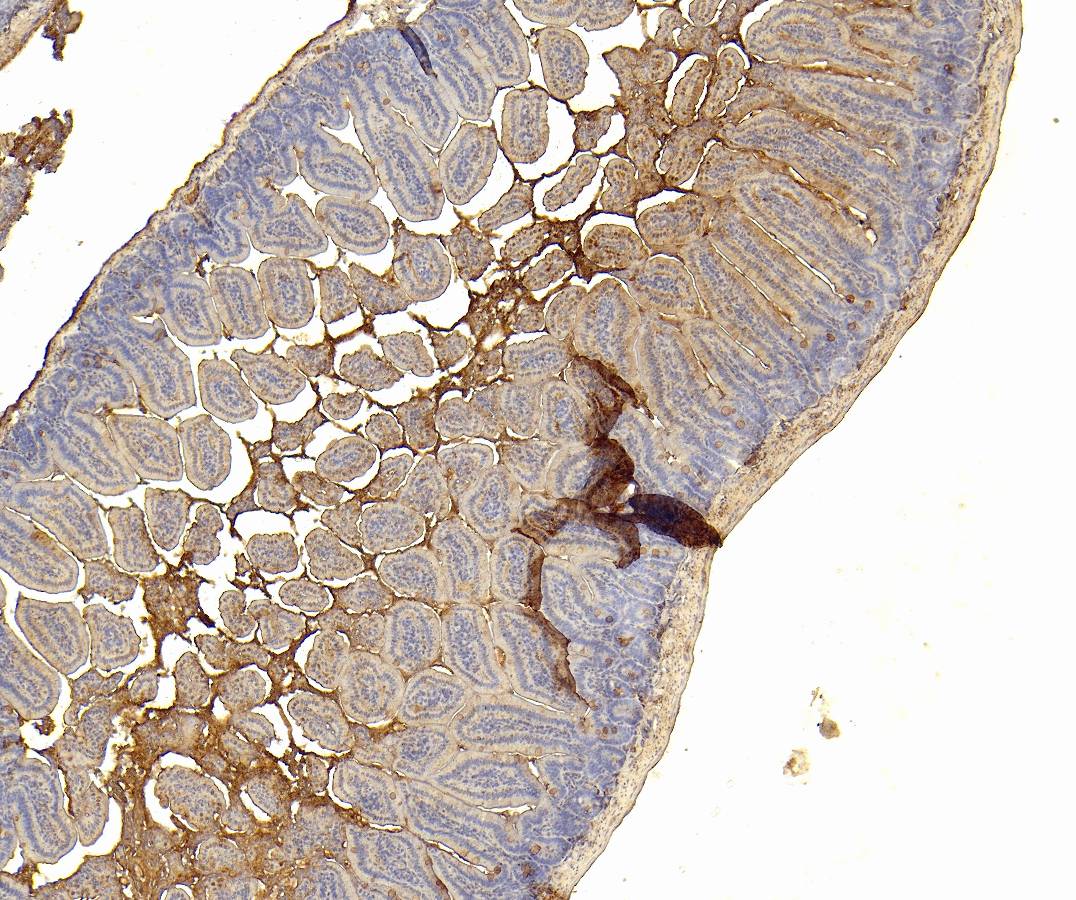
IHC Results Paraffin embedded Mouse Small Intestine. Recommended concentration: 5µg/ml. | |
ELISA Detection Limit Antibody detection limit dilution 1:8000. | |
Western Blot Approx. 35kDa band observed in Mouse Liver lysates (calculated MW of 38.1kDa according to NP_035518.1). Recommended concentration: 0.1-0.3µg/ml. Primary incubation 1 hour at room temperature. | |
Application Type Pep-ELISA, WB, IHC |
Goat Anti-Slc10a2 (mouse) Antibody
$431.00
| SKU | Unit Size | Price |
|---|---|---|
Select a unit size:
Documents |



