Formulation Supplied at 0.5 mg/ml in Tris saline, 0.02% sodium azide, pH7.3 with 0.5% bovine serum albumin.
| |
Unit Size 100 µg | |
Storage Instructions Aliquot and store at -20°C. Minimize freezing and thawing. | |
Synonym / Alias Names solute carrier family 22 (organic cation transporter), member 17|potent brain type organic ion transporter|neutrophil gelatinase-associated lipocalin receptor|NGAL receptor|hBOIT|NGALR|BOIT|BOCT|solute carrier family 22, member 17|SLC22A17 | |
Accession ID NP_065105.2; NP_057693.3 | |
Blocking Peptide EBP08816 | |
Immunogen Peptide with sequence C-PETKRKLLPEVLRD, from the internal region of the protein sequence according to NP_065105.2; NP_057693.3. | |
Product Comments This antibody is expected to recognize both reported isoforms NP_065105.2 and NP_057693.3). | |
Peptide Sequence C-PETKRKLLPEVLRD | |
Purification Method Purified from goat serum by ammonium sulphate precipitation followed by antigen affinity chromatography using the immunizing peptide. | |
Shipping Instructions Refrigerated | |
Predicted Species Human, Mouse, Rat, Dog, Cow | |
Reactive Species Human | |
Human Gene ID 51310 | |
Mouse Gene ID 59049 | |
Rat Gene ID 305886 | |
Product Grade ![]() | |
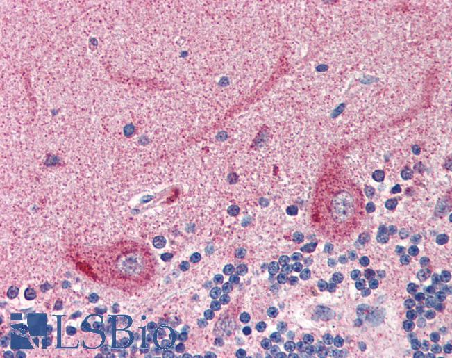
IHC Results Paraffin embedded Human Brain (Cortex and Cerebellum). Recommended concentration: 2µg/ml. | |
ELISA Detection Limit Antibody detection limit dilution 1:64000. | |
Western Blot Preliminary experiments gave an approx 150kDa band in Human Cerebellum lysates after 0.1µg/ml antibody staining. Please note that currently we cannot find an explanation in the literature for the band we observe given the calculated size of 57.7kDa according to NP_065105.2. The 150kDa band was successfully blocked by incubation with the immunizing peptide. | |
Application Type Pep-ELISA, IHC |
Goat Anti-SLC22A17 Antibody
$431.00
| SKU | Unit Size | Price |
|---|---|---|
Select a unit size:
Documents |


