Formulation Supplied at 0.5 mg/ml in Tris saline, 0.02% sodium azide, pH7.3 with 0.5% bovine serum albumin.
| |
Unit Size 100 µg | |
Storage Instructions Aliquot and store at -20°C. Minimize freezing and thawing. | |
Synonym / Alias Names solute carrier family 6 (neurotransmitter transporter, betaine/GABA), member 12|sodium- and chloride-dependent betaine transporter|SLC6A12|OTTHUMP00000237583|OTTHUMP00000237543|OTTHUMP00000115358|Na(+)/Cl(-) betaine/GABA transporter|GAT2|gamma-aminobutyric acid transporter|FLJ38727|BGT-1|BGT1 | |
Accession ID NP_003035.3 | |
Blocking Peptide EBP11861 | |
Immunogen Peptide with sequence CLDGSAGRNFGPSPT, from the C Terminus of the protein sequence according to NP_003035.3. | |
Product Comments Reported variants represent identical protein: NP_001193860.1, NP_003035.3, NP_001116319.1, NP_001116320.1. | |
Peptide Sequence CLDGSAGRNFGPSPT | |
Purification Method Purified from goat serum by ammonium sulphate precipitation followed by antigen affinity chromatography using the immunizing peptide. | |
Shipping Instructions Refrigerated | |
Predicted Species Human | |
Reactive Species Human | |
Human Gene ID 6539 | |
Product Grade ![]() | |
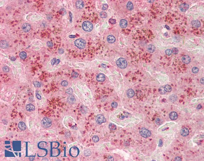
IHC Results Paraffin embedded Human Liver. Recommended concentration: 10µg/ml. | |
ELISA Detection Limit Antibody detection limit dilution 1:128000. | |
Western Blot Approx 70kDa band observed in Human Brain lysates from several regions (calculated MW of 69.4kDa according to NP_003035.3). Recommended concentration: 1-3µg/ml. An additional band of unknown identity was also consistently observed at 27kDa. This band was successfully blocked by incubation with the immunizing peptide. Primary incubation was 1 hour. | |
Application Type Pep-ELISA, WB, IHC |
Goat Anti-SLC6A12 / BGT1 Antibody
$431.00
| SKU | Unit Size | Price |
|---|---|---|
Select a unit size:
Documents |


