Formulation Supplied at 0.5 mg/ml in Tris saline, 0.02% sodium azide, pH7.3 with 0.5% bovine serum albumin.
| |
Unit Size 100 µg | |
Storage Instructions Aliquot and store at -20°C. Minimize freezing and thawing. | |
Synonym / Alias Names SNX1|Vps5|sorting nexin 1A|sorting nexin 1|SNX1A|MGC8664|HsT17379 | |
Usage Summary Immunocytochemistry: Vesicular staining of SNX1 (green) in formaldehyde-fixed SH5Y5Y. Recommended concentration, 3-5µg/ml. | |
Accession ID NP_003090.2; NP_690039.1 | |
Blocking Peptide EBP09792 | |
Immunogen Peptide with sequence C-TNSSKPQPTYEELE, from the internal region of the protein sequence according to NP_003090.2; NP_690039.1. | |
Product Comments This antibody is expected to recognize isoform a and c (NP_003090.2; NP_690039.1. | |
Peptide Sequence C-TNSSKPQPTYEELE | |
Purification Method Purified from goat serum by ammonium sulphate precipitation followed by antigen affinity chromatography using the immunizing peptide. | |
Shipping Instructions Refrigerated | |
Predicted Species Human, Mouse, Rat, Dog, Cow | |
Reactive Species Human | |
Human Gene ID 6642 | |
Mouse Gene ID 56440 | |
Rat Gene ID 84471 | |
Product Grade ![]() | |
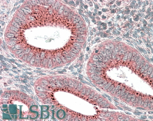
IHC Results In paraffin embedded Human Uterus shows vesicular staining in the cytoplasm of endometrial epithelium. Recommended concentration, 3-5µg/ml. | |
ELISA Detection Limit Antibody detection limit dilution 1:64000. | |
Western Blot Approx 75kDa band observed in lysates of cell lines HeLa and U2OS (calculated MW of 59.1kDa according to NP_003090.2). This molecular weight is routinely observed by other sources . Recommended concentration: 0.1-1µg/ml. Primary incubation 1 hour at room temperature. | |
Application Type Pep-ELISA, WB, IHC, ICC |
Goat Anti-SNX1 Antibody
$431.00
| SKU | Unit Size | Price |
|---|---|---|
Select a unit size:
Documents |



