Formulation Supplied at 0.5 mg/ml in Tris saline, 0.02% sodium azide, pH7.3 with 0.5% bovine serum albumin.
| |
Unit Size 100 µg | |
Storage Instructions Aliquot and store at -20°C. Minimize freezing and thawing. | |
Synonym / Alias Names sorting nexin-4|OTTHUMP00000215866|ATG24B|sorting nexin 4|SNX4 | |
Accession ID NP_003785.1 | |
Blocking Peptide EBP06216 | |
Immunogen Peptide with sequence QVWTNAKECFSKM, from the C Terminus of the protein sequence according to NP_003785.1. | |
Product Comments A phox (PX) domain protein. In mouse, there is also a hypothetical protein called similar to SNX4 (XP_123014.1), which is virtually identical to SNX4. | |
Peptide Sequence QVWTNAKECFSKM | |
Purification Method Purified from goat serum by ammonium sulphate precipitation followed by antigen affinity chromatography using the immunizing peptide. | |
Shipping Instructions Refrigerated | |
Predicted Species Human, Mouse | |
Reactive Species Human | |
Human Gene ID 8723 | |
Mouse Gene ID 69150 | |
Product Grade ![]() | |
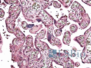
IHC Results In paraffin embedded Human Placenta shows preferential staining in the syntcytiotrophoblast layers. Paraffin embedded Human Spleen. Recommended concentration: 3.75µg/ml. | |
ELISA Detection Limit Antibody detection limit dilution 1:32000. | |
Application Type Pep-ELISA, IHC |
Goat Anti-SNX4 Antibody
$431.00
| SKU | Unit Size | Price |
|---|---|---|
Select a unit size:
Documents |


