Formulation Supplied at 0.5 mg/ml in Tris saline, 0.02% sodium azide, pH7.3 with 0.5% bovine serum albumin.
| |
Unit Size 100 µg | |
Storage Instructions Aliquot and store at -20°C. Minimize freezing and thawing. | |
Synonym / Alias Names suppressor of cytokine signaling-2|cytokine-inducible SH2 protein 2|STAT induced STAT inhibitor-2|suppressor of cytokine signaling 2|STATI2|SOCS-2|SSI-2|Cish2|SSI2|CIS2|SOCS2 | |
Accession ID NP_003868.1; NP_001257396.1 | |
Blocking Peptide EBP05104 | |
Immunogen Peptide with sequence C-RLKDYLEEYKFQV, from the C Terminus of the protein sequence according to NP_003868.1; NP_001257396.1. | |
Peptide Sequence C-RLKDYLEEYKFQV | |
Purification Method Purified from goat serum by ammonium sulphate precipitation followed by antigen affinity chromatography using the immunizing peptide. | |
Shipping Instructions Refrigerated | |
Predicted Species Human, Mouse, Rat | |
Reactive Species Human | |
Human Gene ID 8835 | |
Product Grade ![]() | |
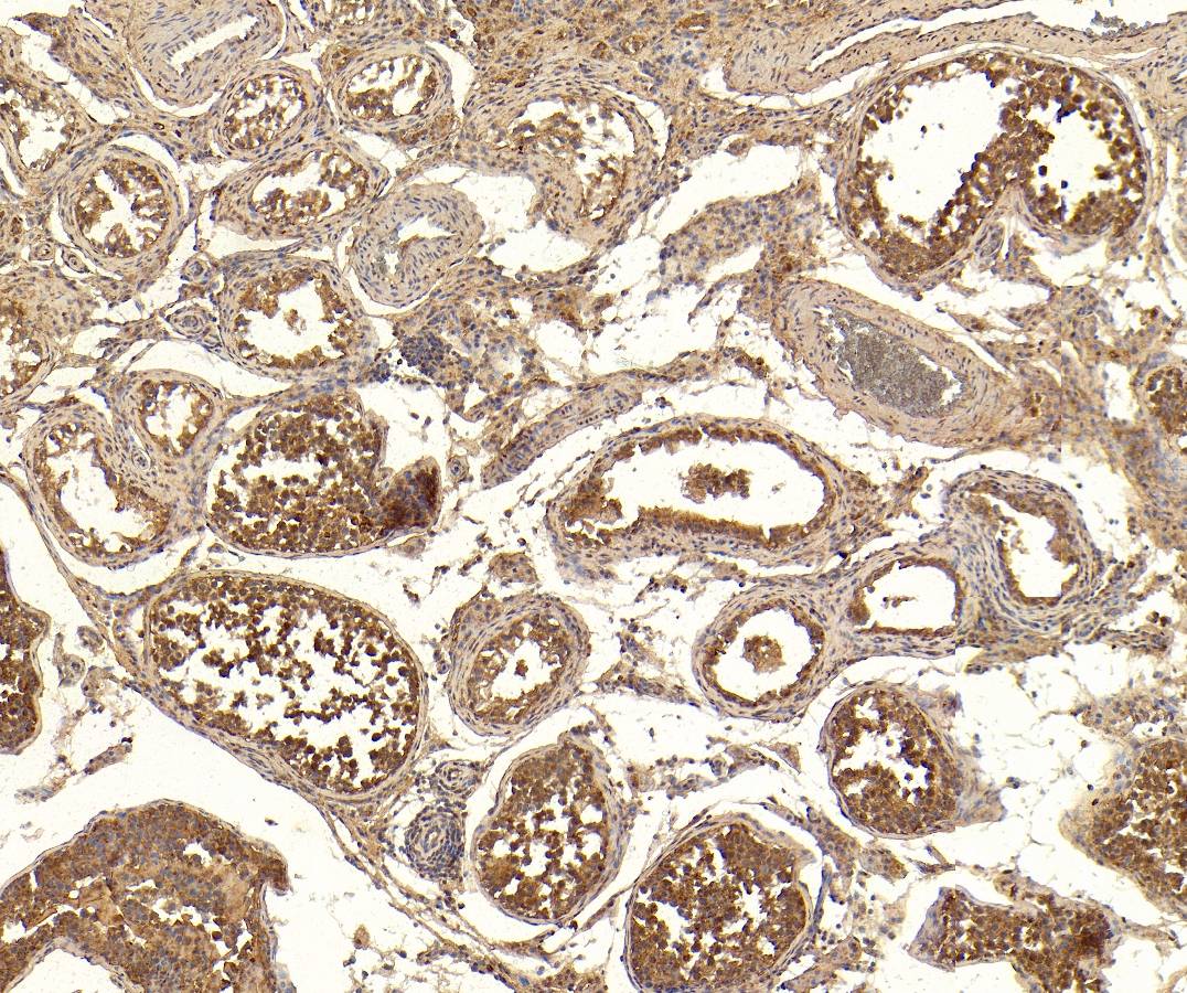
IHC Results Paraffin embedded Human Testis. Recommended concentration: 4µg/ml. | |
ELISA Detection Limit Antibody detection limit dilution 1:4000. | |
Application Type Pep-ELISA, IHC |
Goat Anti-SOCS2 Antibody
$423.00
| SKU | Unit Size | Price |
|---|---|---|
Select a unit size:


