Formulation Supplied at 0.5 mg/ml in Tris saline, 0.02% sodium azide, pH7.3 with 0.5% bovine serum albumin.
| |
Unit Size 100 µg | |
Storage Instructions Aliquot and store at -20°C. Minimize freezing and thawing. | |
Synonym / Alias Names ponsin|c-Cbl associated protein|SH3-domain protein 5 (ponsin)|SH3-domain protein 5|Fas-ligand associated factor 2|SORB1|SH3P12|SH3D5|R85FL|KIAA1296|FLJ12406|FLAF2|DKFZp586P1422|DKFZp451C066|CAP|sorbin and SH3 domain containing 1|SORBS1 | |
Accession ID NP_006425.2; NP_056200.1; NP_001030126.1; NP_001030127.1; NP_001030128.1; NP_079267.1; NP_001030129.1; NP_001277225.2; NP_001364131.1; NP_001371378.1 | |
Blocking Peptide EBP07687 | |
Immunogen Peptide with sequence C-SERNDWEPPDKKVD, from the internal region of the protein sequence according to NP_006425.2; NP_056200.1; NP_001030126.1; NP_001030127.1; NP_001030128.1; NP_079267.1; NP_001030129.1; NP_001277225.2; NP_001364131.1; NP_001371378.1. | |
Product Comments This antibody is expected to recognise multiple isoforms. | |
Peptide Sequence C-SERNDWEPPDKKVD | |
Purification Method Purified from goat serum by ammonium sulphate precipitation followed by antigen affinity chromatography using the immunizing peptide. | |
Shipping Instructions Refrigerated | |
Predicted Species Human, Mouse | |
Reactive Species Human | |
Human Gene ID 10580 | |
Mouse Gene ID 20411 | |
Product Grade ![]() | |
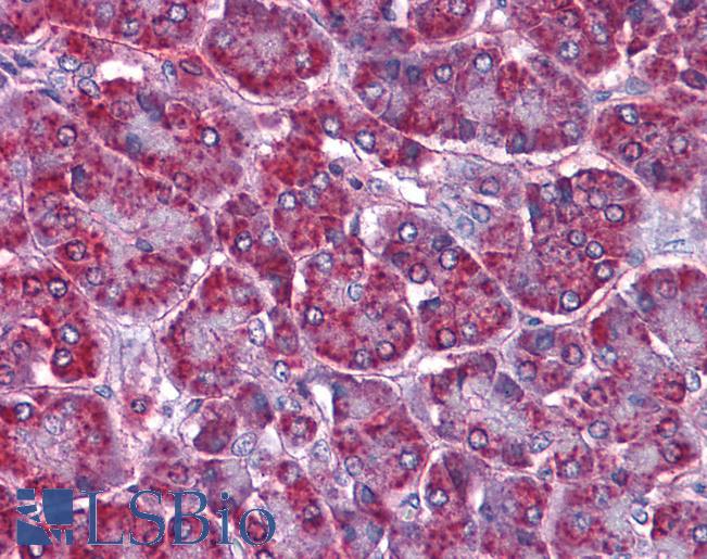
IHC Results Paraffin embedded Human Pancreas and Liver. Recommended concentration: 3.75µg/ml. | |
ELISA Detection Limit Antibody detection limit dilution 1:32000. | |
Western Blot Preliminary experiments gave an approx 65kDa band in Human Adipose lysates after 0.3µg/ml antibody staining. Please note that currently we cannot find an explanation in the literature for the band we observe given the calculated size of 76.6kDa according to NP_006425.2 and higher sizes for other isoforms. The 65kDa band was successfully blocked by incubation with the immunizing peptide. | |
Application Type Pep-ELISA, IHC |
Goat Anti-SORBS1/ponsin (internal region) Antibody
$431.00
| SKU | Unit Size | Price |
|---|---|---|
Select a unit size:
Documents |


