Formulation Supplied at 0.5 mg/ml in Tris saline, 0.02% sodium azide, pH7.3 with 0.5% bovine serum albumin.
| |
Unit Size 100 µg | |
Storage Instructions Aliquot and store at -20°C. Minimize freezing and thawing. | |
Synonym / Alias Names TMPRSS5|SPINESIN|transmembrane protease, serine 5 (spinesin)|MGC141886|MGC148044|SPINESIN | |
Accession ID NP_110397.2 | |
Blocking Peptide EBP05341 | |
Immunogen Peptide with sequence C-LDWIHDTAQDSLL, from the C Terminus of the protein sequence according to NP_110397.2. | |
Peptide Sequence C-LDWIHDTAQDSLL | |
Purification Method Purified from goat serum by ammonium sulphate precipitation followed by antigen affinity chromatography using the immunizing peptide. | |
Shipping Instructions Refrigerated | |
Predicted Species Human, Dog | |
Reactive Species Human | |
Human Gene ID 80975 | |
Product Grade ![]() | |
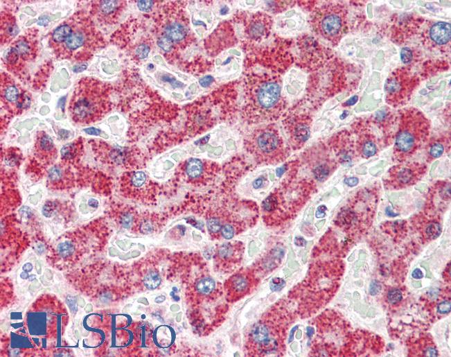
IHC Results Paraffin embedded Human Liver and Small Intestine. Recommended concentration: 5µg/ml. | |
ELISA Detection Limit Antibody detection limit dilution 1:32000. | |
Western Blot Experiments gave bands at approx 50kDa and 29kDa in Human Brain (Cerebral Cortex). These bands correspond to earlier findings in literature with different antibodies (Yamaguchi et al, J Biol Chem. 2002 Mar 1;277(9):6806-12; PMID: 11741986). This protein has a calculated MW of 49.6kDa according to NP_110397.1. Recommended concentration: 0.5-1.5µg/ml. | |
Application Type Pep-ELISA, WB, IHC |
Goat Anti-Spinesin / TMPRSS5 Antibody
$431.00
| SKU | Unit Size | Price |
|---|---|---|
Select a unit size:
Documents |



