Formulation Supplied at 0.5 mg/ml in Tris saline, 0.02% sodium azide, pH7.3 with 0.5% bovine serum albumin.
| |
Unit Size 100 µg | |
Storage Instructions Aliquot and store at -20°C. Minimize freezing and thawing. | |
Synonym / Alias Names steroid-5-alpha-reductase|steroid 5-alpha-reductase type I|OTTHUMP00000115519|5-alpha reductase|3-oxo-5 alpha-steroid delta 4-dehydrogenase alpha 1|steroid-5-alpha-reductase, alpha polypeptide 1 (3-oxo-5 alpha-steroid delta 4-dehydrogenase alpha 1)|SRD5A1 | |
Accession ID NP_001038.1 | |
Blocking Peptide EBP09209 | |
Immunogen Peptide with sequence C-RNLRKPGDTGYK, from the internal region of the protein sequence according to NP_001038.1. | |
Peptide Sequence C-RNLRKPGDTGYK | |
Purification Method Purified from goat serum by ammonium sulphate precipitation followed by antigen affinity chromatography using the immunizing peptide. | |
Shipping Instructions Refrigerated | |
Predicted Species Human | |
Reactive Species Human | |
Human Gene ID 6715 | |
Mouse Gene ID 78925 | |
Product Grade ![]() | |
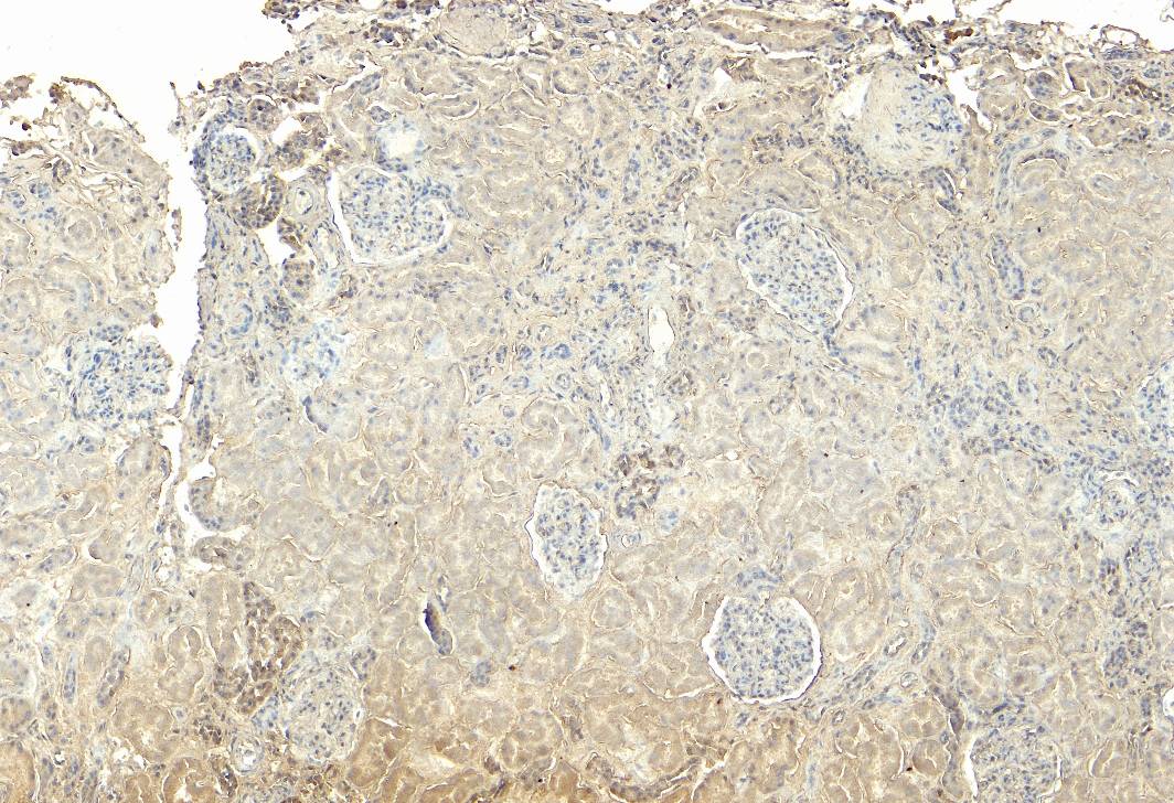
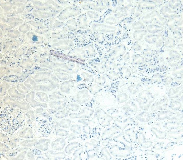
IHC Results Paraffin embedded Human Prostate and Kidney. Recommended concentration: 5-7µg/ml. | |
ELISA Detection Limit Antibody detection limit dilution 1:32000. | |
Application Type Pep-ELISA, IHC |
Goat Anti-SRD5A1 Antibody
$431.00
| SKU | Unit Size | Price |
|---|---|---|
Select a unit size:
Documents |




