Formulation Supplied at 0.5 mg/ml in Tris saline, 0.02% sodium azide, pH7.3 with 0.5% bovine serum albumin.
| |
Unit Size 100 µg | |
Storage Instructions Aliquot and store at -20°C. Minimize freezing and thawing. | |
Synonym / Alias Names small intestine SPAK-like kinase|proline-alanine-rich STE20-related kinase|Ste20-like protein kinase|SPAK|PASK|DKFZp686K05124|DCHT|serine threonine kinase 39 (STE20/SPS1 homolog, yeast)|STK39 | |
Accession ID NP_037365.2 | |
Blocking Peptide EBP09416 | |
Immunogen Peptide with sequence C-SQEKSRRVKEENPE, from the internal region of the protein sequence according to NP_037365.2. | |
Peptide Sequence C-SQEKSRRVKEENPE | |
Purification Method Purified from goat serum by ammonium sulphate precipitation followed by antigen affinity chromatography using the immunizing peptide. | |
Shipping Instructions Refrigerated | |
Predicted Species Human, Mouse, Rat, Dog | |
Reactive Species Human | |
Human Gene ID 27347 | |
Mouse Gene ID 53416 | |
Rat Gene ID 54348 | |
Product Grade ![]() | |
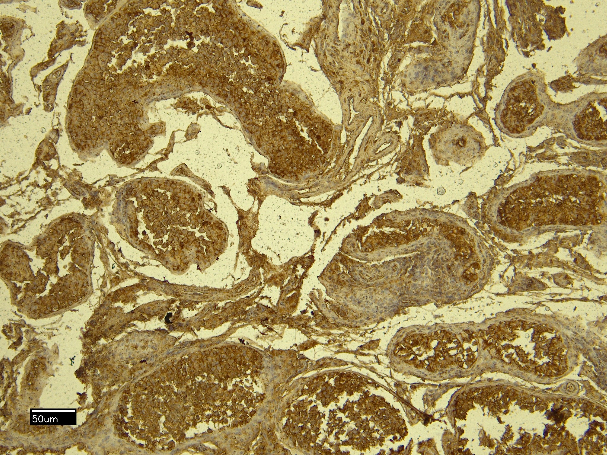
IHC Results Paraffin embedded Human Testis. Recommended concentration: 6µg/ml. | |
ELISA Detection Limit Antibody detection limit dilution 1:4000. | |
Western Blot Approx 65kDa band observed in Human Brain (Cerebellum) lysate (calculated MW of 59.5kDa according to NP_037365.2). The observed molecular weight corresponds to earlier findings with different antibodies from other commercial sources. Recommended concentration: 0.3-1µg/ml. | |
Application Type Pep-ELISA, WB, IHC |
Goat Anti-STK39 / SPAK Antibody
$431.00
| SKU | Unit Size | Price |
|---|---|---|
Select a unit size:
Documents |



