Formulation Supplied at 0.5 mg/ml in Tris saline, 0.02% sodium azide, pH7.3 with 0.5% bovine serum albumin.
| |
Unit Size 100 µg | |
Storage Instructions Aliquot and store at -20°C. Minimize freezing and thawing. | |
Synonym / Alias Names stathmin 1 variant|stathmin 1|prosolin|phosphoprotein 19|oncoprotein 18|metablastin|leukemia-associated phosphoprotein p18|Pr22 protein|SMN|PR22|PP19|PP17|OP18|Lag|LAP18|stathmin 1/oncoprotein 18|STMN1 | |
Usage Summary ELISA: This antibody has been successfully used in ELISA as described in the following paper: Song et al, Aging Cell. 2010 Aug;9(4):607-15; PMID: 20560902. | |
Accession ID NP_005554.1; NP_981944.1; NP_981946.1 | |
Blocking Peptide EBP07115 | |
Immunogen Peptide with sequence C-KNKESKDPADETEAD, from the C Terminus of the protein sequence according to NP_005554.1; NP_981944.1; NP_981946.1. | |
Product Comments This antibody is expected to cross-react with isoform 1 a (NP_005554.1; NP_981944.1; NP_981946.1) only. The three reported isoforms (NP_005554.1, NP_981944.1 and NP_981946.1) represent identical protein. | |
Peptide Sequence C-KNKESKDPADETEAD | |
Purification Method Purified from goat serum by ammonium sulphate precipitation followed by antigen affinity chromatography using the immunizing peptide. | |
Shipping Instructions Refrigerated | |
Predicted Species Human, Mouse, Rat | |
Reactive Species Human, Mouse | |
Human Gene ID 3925 | |
Product Grade ![]() | |
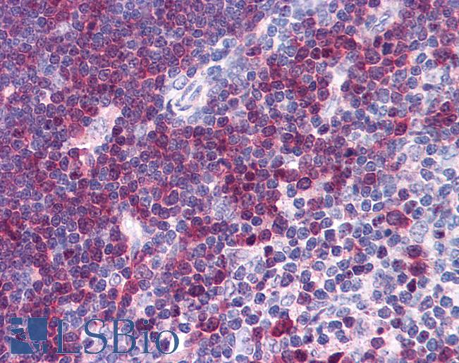
IHC Results Paraffin embedded Human Thymus and Tonsil. Recommended concentration: 3.75µg/ml. | |
ELISA Detection Limit Antibody detection limit dilution 1:1000. | |
Western Blot Approx 17kDa band observed in Human Testis and Mouse Brain lysates (calculated MW of 17.3kDa according to NP_005554.1, NP_981944.1 and NP_981946.1). Recommended concentration: 1-3µg/ml. | |
Application Type Pep-ELISA, WB, EIA, IHC |
Goat Anti-STMN1 / Stathmin 1 Antibody
$431.00
| SKU | Unit Size | Price |
|---|---|---|
Select a unit size:
Selected References [{"pmid": 22323746, "intro": "This antibody has been successfully used in the following paper:", "title": "Chitinase enzyme activity in CSF is a powerful\r\nbiomarker of Alzheimer disease.", "author": "Watabe-Rudolph M, Song Z, Lausser L, Schnack C, Begus-Nahrmann Y, Scheithauer MO, Rettinger G, Otto M, Tumani H, Thal DR, Attems J, Jellinger KA, Kestler HA, von Arnim CA, Rudolph KL.", "journal": "Neurology. 2012 Feb 21;78(8):569-77."}, {"pmid": 20560902, "intro": "This antibody has been successfully used in ELISA:", "title": "Lifestyle impacts on the aging-associated expression of biomarkers of DNA damage and telomere dysfunction in human blood.", "author": "Song Z, von Figura G, Liu Y, Kraus JM, Torrice C, Dillon P, Rudolph-Watabe M, Ju Z, Kestler HA, Sanoff H, Lenhard Rudolph K.", "journal": "Aging Cell. 2010 Aug;9(4):607-15."}] |
Documents |



