Formulation Supplied at 0.5 mg/ml in Tris saline, 0.02% sodium azide, pH7.3 with 0.5% bovine serum albumin.
| |
Unit Size 100 µg | |
Storage Instructions Aliquot and store at -20°C. Minimize freezing and thawing. | |
Synonym / Alias Names transcription factor 1, hepatic| liver-specific transcription factor LF-B1| interferon production regulator factor| hepatocyte nuclear factor 1-alpha| hepatic nuclear factor 1| albumin proximal factor| OTTHUMP00000240206| OTTHUMP00000240204| OTTHUMP00000240200| OTTHUMP00000198944| HNF-1-alpha| MODY3| LFB1| IDDM20| TCF-1| TCF1| HNF1| HNF-1A| HNF1 homeobox A|HNF1A | |
Usage Summary Immunofluorescence: Strong expression of the protein seen in the Nucleus of NIH3T3 cells. Recommended concentration: 10µg/ml. | |
Accession ID NP_000536.5 | |
Blocking Peptide EBP06701 | |
Immunogen Peptide with sequence C-VIETFISTQMASSSQ, from the C Terminus of the protein sequence according to NP_000536.5. | |
Peptide Sequence C-VIETFISTQMASSSQ | |
Purification Method Purified from goat serum by ammonium sulphate precipitation followed by antigen affinity chromatography using the immunizing peptide. | |
Shipping Instructions Refrigerated | |
Predicted Species Human, Mouse, Rat, Dog, Pig, Cow | |
Reactive Species Human, Mouse, Rat | |
Human Gene ID 6927 | |
Mouse Gene ID 21405 | |
Rat Gene ID 24817 | |
Product Grade ![]() | |
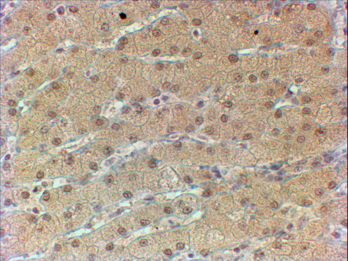
IHC Results In paraffin embedded Human Liver shows nuclear staining in hepatocytes. Recommended concentration, 2-4µg/ml. | |
ELISA Detection Limit Antibody detection limit dilution 1:128000. | |
Western Blot Approx 70kDa band observed in Rat Liver and Mouse Liver lysates (calculated MW of 67.4kDa according to NP_000536.5). Recommended concentration: 2-6µg/ml. Primary incubation 1 hour at room temperaturer. | |
Application Type Pep-ELISA, WB, IF, IHC |
Goat Anti-HNF1A Antibody
$431.00
| SKU | Unit Size | Price |
|---|---|---|
Select a unit size:
Documents |



