Formulation Supplied at 0.5 mg/ml in Tris saline, 0.02% sodium azide, pH7.3 with 0.5% bovine serum albumin.
| |
Unit Size 100 µg | |
Storage Instructions Aliquot and store at -20°C. Minimize freezing and thawing. | |
Synonym / Alias Names TFEC|MGC107474|BB107417|transcription factor EC|Tcfec | |
Accession ID NP_112475.1 | |
Blocking Peptide EBP07934 | |
Immunogen Peptide with sequence C-HITKQQTHPERN, from the internal region of the protein sequence according to NP_112475.1. | |
Peptide Sequence C-HITKQQTHPERN | |
Purification Method Purified from goat serum by ammonium sulphate precipitation followed by antigen affinity chromatography using the immunizing peptide. | |
Shipping Instructions Refrigerated | |
Predicted Species Mouse, Rat | |
Reactive Species Mouse, Human | |
Mouse Gene ID 21426 | |
Rat Gene ID 26296 | |
Product Grade ![]() | |
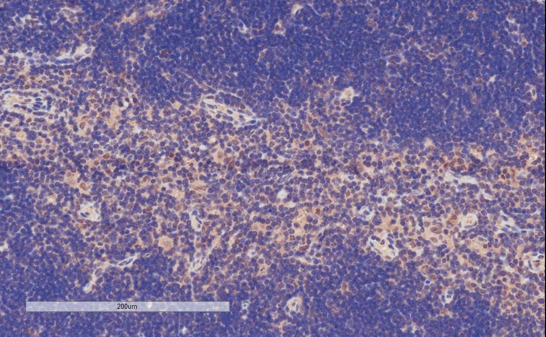
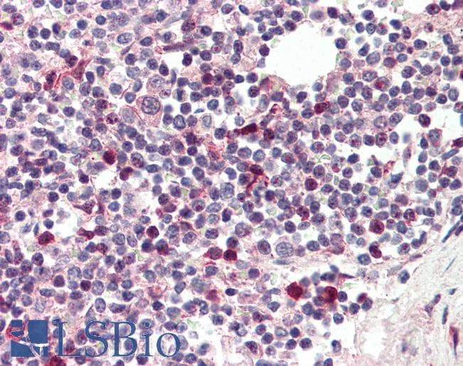
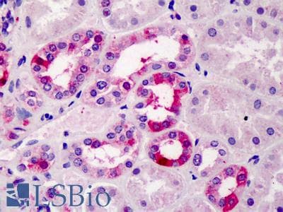
IHC Results In paraffin embedded Mouse Thymus shows nuclear staining in sporadic cells of the medula. Recommended concentration: 4-6µg/ml. Paraffin embedded Human Kidney and Spleen. Recommended concentration: 5µg/ml. | |
ELISA Detection Limit Antibody detection limit dilution 1:32000. | |
Western Blot Preliminary experiments gave one band at approx 37kDa and much stronger bands at approx 70+28kDa in Mouse Testis lysates after 0.5 µg/ml antibody staining. Please note that currently we cannot find an explanation in the literature for the stonger bands we observe given the calculated size of 35.1kDa according to Mouse NP_112475.1. All detected bands were successfully blocked by incubation with the immunizing peptide (and BLAST results with the immunizing peptide sequence did not identify any other proteins to explain the additional bands). | |
Application Type Pep-ELISA, IHC |
Goat Anti-Tcfec (mouse) Antibody
$431.00
| SKU | Unit Size | Price |
|---|---|---|
Select a unit size:
Documents |




