Formulation Supplied at 0.5 mg/ml in Tris saline, 0.02% sodium azide, pH7.3 with 0.5% bovine serum albumin.
| |
Unit Size 100 µg | |
Storage Instructions Aliquot and store at -20°C. Minimize freezing and thawing. | |
Synonym / Alias Names thioredoxin reductase GRIM-12|oxidoreductase|KM-102-derived reductase-like factor|TRXR1|TR|MGC9145|GRIM-12|TXNR|TR1|thioredoxin reductase 1|TXNRD1 | |
Accession ID NP_003321.2; NP_877393.1; NP_877419.1; NP_877420.1; NP_001087240.1 | |
Blocking Peptide EBP05510 | |
Immunogen Peptide with sequence TKRSGASILQAGC, from the C Terminus of the protein sequence according to NP_003321.2; NP_877393.1; NP_877419.1; NP_877420.1; NP_001087240.1. | |
Product Comments This antibody is expected to recognise reported isoform 1 (NP_003321.2), isoform 2 (NP_877393.1; NP_877419.1; NP_877420.1) and isoform 3 (NP_001087240.1) | |
Peptide Sequence TKRSGASILQAGC | |
Purification Method Purified from goat serum by ammonium sulphate precipitation followed by antigen affinity chromatography using the immunizing peptide. | |
Shipping Instructions Refrigerated | |
Predicted Species Human | |
Reactive Species Human | |
Human Gene ID 7296 | |
Product Grade ![]() | |
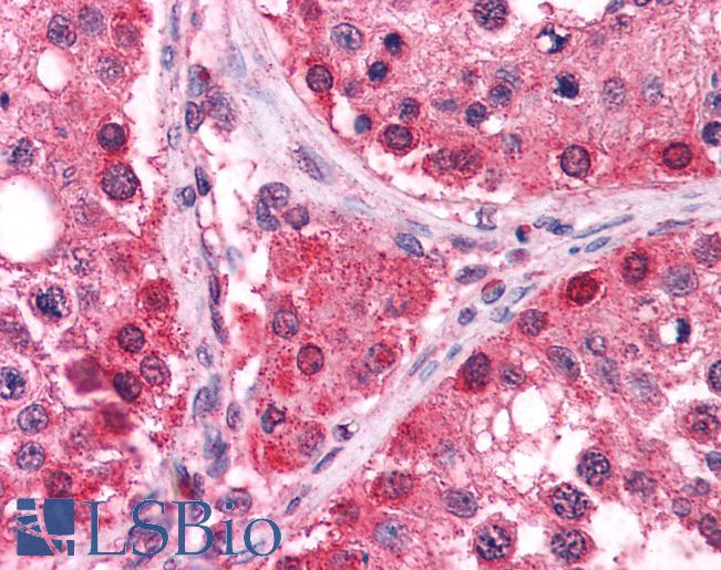
IHC Results Paraffin embedded Human Testis and Spleen. Recommended concentration: 2.5µg/ml. | |
ELISA Detection Limit Antibody detection limit dilution 1:32000. | |
Western Blot Approx 60kDa band observed in Human Placenta lysates (predicted MW of 57kDa according to NP_003321). Recommended for use at 0.1-1µg/ml. | |
Application Type Pep-ELISA, WB, IHC |
Goat Anti-Thioredoxin Reductase 1 Antibody
$431.00
| SKU | Unit Size | Price |
|---|---|---|
Select a unit size:
Documents |



