Formulation Supplied at 0.5 mg/ml in Tris saline, 0.02% sodium azide, pH7.3 with 0.5% bovine serum albumin.
| |
Unit Size 100 µg | |
Storage Instructions Aliquot and store at -20°C. Minimize freezing and thawing. | |
Synonym / Alias Names TIPRL|yeast YPR037W and worm|TIP41, TOR signalling pathway regulator-like|TIP41, TOR signaling pathway regulator-like (S. cerevisiae)|TIP41|TIP|putative MAPK activating protein|OTTHUMP00000032582|OTTHUMP00000032581|MGC3794|dJ69E11.3|CG9578-like | |
Usage Summary Flow Cytometry: Flow cytometric analysis of A431 cells. Recommended concentration: 10ug/ml. | |
Accession ID NP_690866.1 | |
Blocking Peptide EBP09794 | |
Immunogen Peptide with sequence C-RIDPNPADSQKSTQ, from the C Terminus of the protein sequence according to NP_690866.1. | |
Product Comments This antibody is expected to recognize isoform 1 (NP_690866.1). | |
Peptide Sequence C-RIDPNPADSQKSTQ | |
Purification Method Purified from goat serum by ammonium sulphate precipitation followed by antigen affinity chromatography using the immunizing peptide. | |
Shipping Instructions Refrigerated | |
Predicted Species Human | |
Reactive Species Human | |
Human Gene ID 261726 | |
Mouse Gene ID 226591 | |
Rat Gene ID 360869 | |
Product Grade ![]() | |
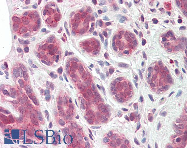
IHC Results Paraffin embedded Human Breast. Recommended concentration: 3.75µg/ml. | |
ELISA Detection Limit Antibody detection limit dilution 1:16000. | |
Western Blot Approx. 30kDa band observed in lysates of cell lines Daudi, K562, HeLa, HepG2 and peripheral blood Monocytes (PBM), and approx. 32kDa in lysates of cell lines A431 and MOLT4 (calculated MW of 31.4kDa according to NP_690866.1). Recommended concentration: 0.03-0.3µg/ml. Primary incubation 1 hour at room temperature. | |
Application Type Pep-ELISA, WB, IHC, FC |
Goat Anti-TIPRL Antibody
$431.00
| SKU | Unit Size | Price |
|---|---|---|
Select a unit size:
Documents |



