Formulation Supplied at 0.5 mg/ml in Tris saline, 0.02% sodium azide, pH7.3 with 0.5% bovine serum albumin.
| |
Unit Size 100 µg | |
Storage Instructions Aliquot and store at -20°C. Minimize freezing and thawing. | |
Synonym / Alias Names triggering receptor expressed on myeloid cells 2a|OTTHUMP00000039771|Trem2c|Trem2b|Trem2a|TREM-2|triggering receptor expressed on myeloid cells 2|TREM2 | |
Usage Summary Immunofluorescence: Strong expression of the protein seen in U937 and HepG2 cells. Recommended concentration: 10µg/ml.
Flow Cytometry: Flow cytometric analysis of U937 cells. Recommended concentration: 10ug/ml. | |
Accession ID NP_061838.1 | |
Blocking Peptide EBP07921 | |
Immunogen Peptide with sequence C-HGQKPGTHPPSELD, from the C Terminus of the protein sequence according to NP_061838.1. | |
Peptide Sequence C-HGQKPGTHPPSELD | |
Purification Method Purified from goat serum by ammonium sulphate precipitation followed by antigen affinity chromatography using the immunizing peptide. | |
Shipping Instructions Refrigerated | |
Predicted Species Human | |
Reactive Species Human | |
Human Gene ID 54209 | |
Product Grade ![]() | |
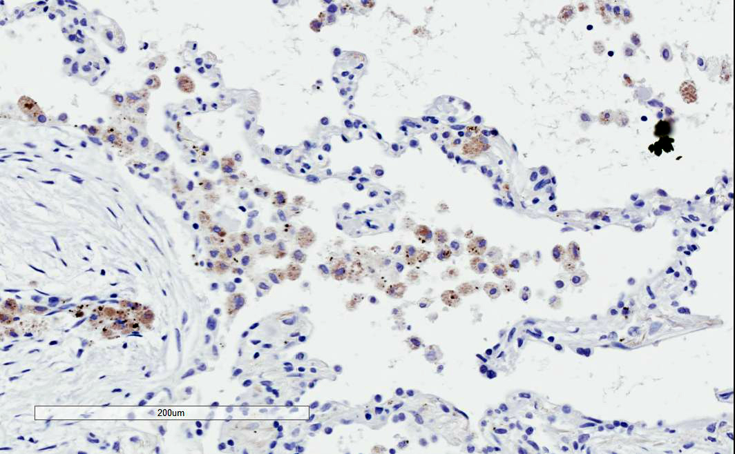
IHC Results In paraffin embedded Human Lung shows staining of alveolar macrophages. Recommended concentration: 2-4µg/ml. | |
ELISA Detection Limit Antibody detection limit dilution 1:128000. | |
Application Type Pep-ELISA, IHC, IF, FC |
Goat Anti-TREM2 Antibody
$431.00
| SKU | Unit Size | Price |
|---|---|---|
Select a unit size:
Documents |




