Formulation Supplied at 0.5 mg/ml in Tris saline, 0.02% sodium azide, pH7.3 with 0.5% bovine serum albumin.
| |
Unit Size 100 µg | |
Storage Instructions Aliquot and store at -20°C. Minimize freezing and thawing. | |
Synonym / Alias Names TRIM29|tripartite motif-containing 29|tripartite motif protein TRIM29|FLJ36085|ATDC|ataxia-telangiectasia group D-associated protein | |
Usage Summary Immunofluorescence: Strong expression of the protein seen in the Cytoplasm and Intermediate filaments of A431 cells. Strong expression of the protein seen in the Nucleus of U2OS cells. Recommended concentration: 10µg/ml.
Flow Cytometry: Flow cytometric analysis of A431 cells. Recommended concentration: 10ug/ml. | |
Accession ID NP_036233.2; NP_001317311.1 | |
Blocking Peptide EBP09814 | |
Immunogen Peptide with sequence C-EKDRIKSFTTNE, from the internal region of the protein sequence according to NP_036233.2; NP_001317311.1. | |
Peptide Sequence C-EKDRIKSFTTNE | |
Purification Method Purified from goat serum by ammonium sulphate precipitation followed by antigen affinity chromatography using the immunizing peptide. | |
Shipping Instructions Refrigerated | |
Predicted Species Human, Mouse, Rat, Cow | |
Reactive Species Human | |
Human Gene ID 23650 | |
Mouse Gene ID 72169 | |
Rat Gene ID 300656 | |
Product Grade ![]() | |
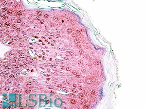
IHC Results In paraffin embedded Human Skin shows staining of subnuclear structures and cytoplasm in keratinocytes. Recommended concentration: 3.75µg/ml. | |
ELISA Detection Limit Antibody detection limit dilution 1:128000. | |
Western Blot Approx 37kDa band observed in Human Peripheral Blood Mononucleocytes (PBM) and in lysates of cell lines HeLa. An additional 70kDa band was seen in some PBM lysates (calculated MW of 37.3kDa according to NP_001317311.1 (isoform 2) and 65.8kDa according to NP_036233.2 (isoform 1). Recommended concentration: 0.1-1µg/ml. Primary incubation 1 hour at room tempetature. | |
Application Type Pep-ELISA, WB, IF, FC, IHC |
Goat Anti-TRIM29 / ATDC Antibody
$431.00
| SKU | Unit Size | Price |
|---|---|---|
Select a unit size:
Documents |





