Formulation Supplied at 0.5 mg/ml in Tris saline, 0.02% sodium azide, pH7.3 with 0.5% bovine serum albumin.
| |
Unit Size 100 µg | |
Storage Instructions Aliquot and store at -20°C. Minimize freezing and thawing. | |
Synonym / Alias Names transient receptor potential channel 1|TRP1|MGC133335|MGC133334|HTRP-1|transient receptor potential cation channel, subfamily C, member 1|TRPC1 | |
Usage Summary Immunofluorescence: Strong expression of the protein seen in the cytoplasm/vesicles of HeLa cells. Strong expression of the protein seen in the cytoplasm and nuclei of U2OS cells. Recommended concentration: 10µg/ml.
Flow Cytometry: Flow cytometric analysis of Jurkat cells. Recommended concentration: 10ug/ml. | |
Accession ID NP_003295.1; NP_001238774.1 | |
Blocking Peptide EBP08789 | |
Immunogen Peptide with sequence C-NLKQKRDENYQK, from the internal region of the protein sequence according to NP_003295.1; NP_001238774.1. | |
Peptide Sequence C-NLKQKRDENYQK | |
Purification Method Purified from goat serum by ammonium sulphate precipitation followed by antigen affinity chromatography using the immunizing peptide. | |
Shipping Instructions Refrigerated | |
Predicted Species Human, Mouse, Rat, Dog | |
Reactive Species Human | |
Human Gene ID 7220 | |
Product Grade ![]() | |
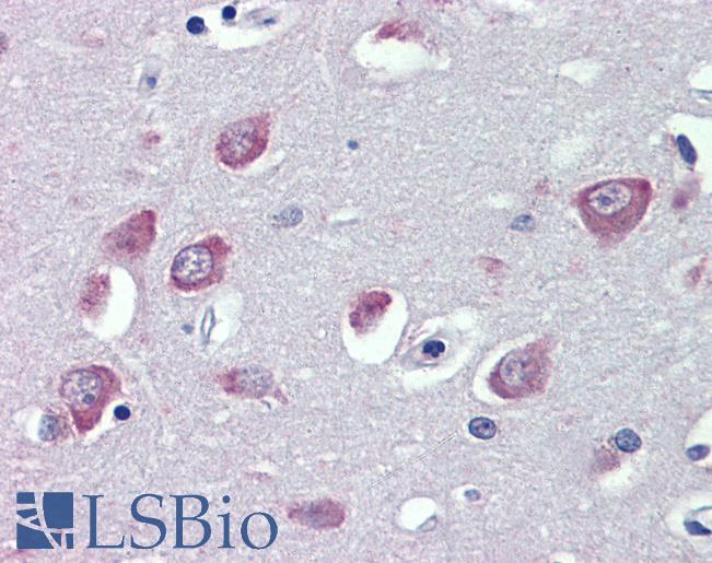
IHC Results Paraffin embedded Human Prostate and Brain (Cortex). Recommended concentration: 3.75µg/ml. | |
ELISA Detection Limit Antibody detection limit dilution 1:32000. | |
Application Type Pep-ELISA, IF, FC, IHC |
Goat Anti-TRPC1 Antibody
$431.00
| SKU | Unit Size | Price |
|---|---|---|
Select a unit size:
Documents |





