Formulation Supplied at 0.5 mg/ml in Tris saline, 0.02% sodium azide, pH7.3 with 0.5% bovine serum albumin.
| |
Unit Size 100 µg | |
Storage Instructions Aliquot and store at -20°C. Minimize freezing and thawing. | |
Synonym / Alias Names thioredoxin-like protein p46|thioredoxin related protein|thioredoxin domain-containing protein 5|protein disulfide isomerase family A, member 15|endoplasmic reticulum protein ERp46|endothelial protein disulphide isomerase|endoplasmic reticulum resident protein 46|ER protein 46|UNQ364|PDIA15|MGC3178|Hcc-2|EndoPDI|ERP46|thioredoxin domain containing 5 (endoplasmic reticulum)|TXNDC5 | |
Accession ID NP_110437.2; NP_001139021.1 | |
Blocking Peptide EBP10878 | |
Immunogen Peptide with sequence C-RDGKKVDQYKGKRD, from the internal region of the protein sequence according to NP_110437.2; NP_001139021.1. | |
Product Comments This antibody is expected to recognize both reported isoforms (NP_110437.2; NP_001139021.1). | |
Peptide Sequence C-RDGKKVDQYKGKRD | |
Purification Method Purified from goat serum by ammonium sulphate precipitation followed by antigen affinity chromatography using the immunizing peptide. | |
Shipping Instructions Refrigerated | |
Predicted Species Human, Mouse, Cow | |
Reactive Species Human, Mouse | |
Human Gene ID 81567 | |
Mouse Gene ID 105245 | |
Product Grade ![]() | |
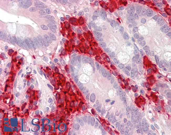
IHC Results Paraffin embedded Human Small Intestine. Recommended concentration: 3.75µg/ml. | |
ELISA Detection Limit Antibody detection limit dilution 1:64000. | |
Western Blot Approx 50+38kDa bands observed in Human Lymph Nodes lysates (calculated MW of 47.6kDa according to NP_110437.2 and of 36.2kDa according to NP_001139021.1). A 48kDa band was observed in Mouse Lymph Node while a 37-38kDa doublet was observed n Mouse Stomach lysates and in Mouse Intestine lysates. Recommended concentration: 0.03-0.1µg/ml. Primary incubation was 1 hour. | |
Application Type Pep-ELISA, WB, IHC |
Goat Anti-TXNDC5 (aa269-282) Antibody
$431.00
| SKU | Unit Size | Price |
|---|---|---|
Select a unit size:
Documents |



