Formulation Supplied at 0.5 mg/ml in Tris saline, 0.02% sodium azide, pH7.3 with 0.5% bovine serum albumin.
| |
Unit Size 100 µg | |
Storage Instructions Aliquot and store at -20°C. Minimize freezing and thawing. | |
Synonym / Alias Names UCHL1|Uch-L1|ubiquitin C-terminal hydrolase|ubiquitin carboxyl-terminal esterase L1 (ubiquitin thiolesterase)|ubiquitin carboxyl-terminal esterase L1|PGP95|PGP9.5|PARK5|neuron cytoplasmic protein 9.5 | |
Accession ID NP_004172.2 | |
Blocking Peptide EBP10219 | |
Immunogen Peptide with sequence C-QHENFRKKQIE, from the internal region of the protein sequence according to NP_004172.2. | |
Peptide Sequence C-QHENFRKKQIE | |
Purification Method Purified from goat serum by ammonium sulphate precipitation followed by antigen affinity chromatography using the immunizing peptide. | |
Shipping Instructions Refrigerated | |
Predicted Species Human, Mouse, Rat, Dog, Pig, Cow | |
Reactive Species Human, Mouse, Rat | |
Human Gene ID 7345 | |
Mouse Gene ID 22223 | |
Rat Gene ID 29545 | |
Product Grade ![]() | |
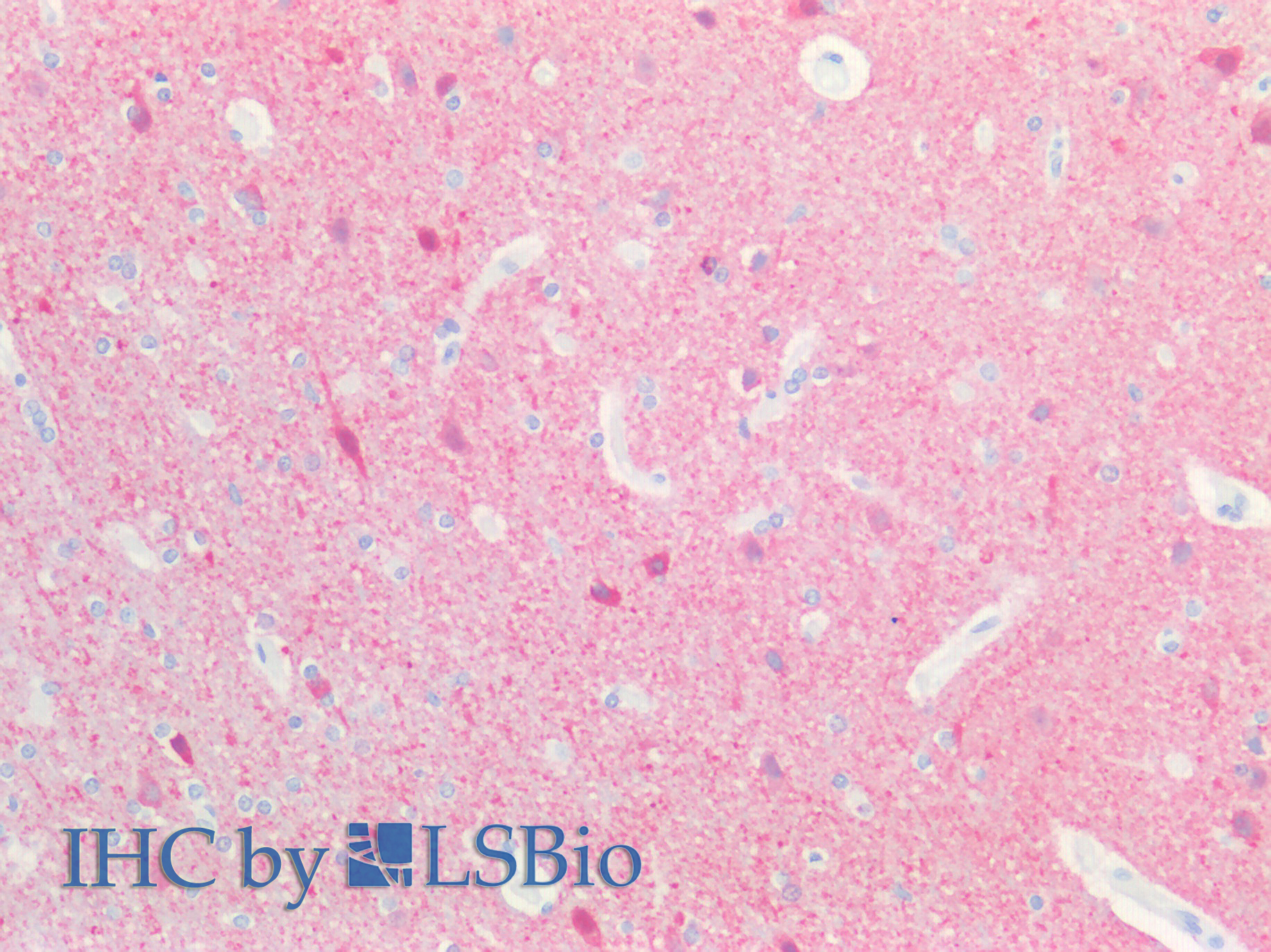
IHC Results Paraffin embedded Human Brain (Cortex). Recommended concentration: 2.5µg/ml. | |
ELISA Detection Limit Antibody detection limit dilution 1:16000. | |
Western Blot Approx 26kDa band observed in Human Brain (Cerebellum and Hippocampus) and Mouse and Rat Brain lysates (calculated MW of 24.8kDa according to Human NP_004172.2, Mouse NP_035800.2 and Rat NP_058933.2). Recommended concentration: 0.01-0.03µg/ml. | |
Application Type Pep-ELISA, WB, IHC |
Goat Anti-UCHL1 (aa 58-68) Antibody
$431.00
| SKU | Unit Size | Price |
|---|---|---|
Select a unit size:
Documents |



