Formulation Supplied at 0.5 mg/ml in Tris saline, 0.02% sodium azide, pH7.3 with 0.5% bovine serum albumin.
| |
Unit Size 100 µg | |
Storage Instructions Aliquot and store at -20°C. Minimize freezing and thawing. | |
Synonym / Alias Names yeast class E protein Vps28p homolog|vacuolar protein sorting 28|MGC60323|vacuolar protein sorting 28 homolog (S. cerevisiae)|vacuolar protein sorting 28 (yeast)|VPS28 | |
Accession ID NP_057292.1 | |
Blocking Peptide EBP06276 | |
Immunogen Peptide with sequence C-ESAYNAFNRFLHA, from the C Terminus of the protein sequence according to NP_057292.1. | |
Product Comments This antibody is expected to recognize isoform 1 (NP_057292.1) only. | |
Peptide Sequence C-ESAYNAFNRFLHA | |
Purification Method Purified from goat serum by ammonium sulphate precipitation followed by antigen affinity chromatography using the immunizing peptide. | |
Shipping Instructions Refrigerated | |
Predicted Species Human, Mouse, Rat, Dog, Pig | |
Reactive Species Human | |
Human Gene ID 51160 | |
Mouse Gene ID 66914 | |
Product Grade ![]() | |
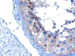
IHC Results In paraffin embedded Human Testis, stains acrosomal head caps in round spermatids. Recommended concentration: 10µg/ml. | |
ELISA Detection Limit Antibody detection limit dilution 1:1000. | |
Western Blot Approx 24kDa band observed in H460, Human Testis and Brain lysates (predicted MW of 25kDa according to NP_057292.1). Recommended for use at 1-3µg/ml. | |
Application Type Pep-ELISA, WB, IHC |
Goat Anti-VPS28 Antibody
$431.00
| SKU | Unit Size | Price |
|---|---|---|
Select a unit size:
Documents |


