Formulation Supplied at 0.5 mg/ml in Tris saline, 0.02% sodium azide, pH7.3 with 0.5% bovine serum albumin.
| |
Unit Size 100 µg | |
Storage Instructions Aliquot and store at -20°C. Minimize freezing and thawing. | |
Synonym / Alias Names vacuolar protein sorting 37 homolog C (S. cerevisiae)|vacuolar protein sorting 37C|FLJ20847|vacuolar protein sorting 37C (yeast)|VPS37C | |
Accession ID NP_060436.4 | |
Blocking Peptide EBP06833 | |
Immunogen Peptide with sequence C-ETLKDKTLQELEELQ, from the internal region of the protein sequence according to NP_060436.4. | |
Peptide Sequence C-ETLKDKTLQELEELQ | |
Purification Method Purified from goat serum by ammonium sulphate precipitation followed by antigen affinity chromatography using the immunizing peptide. | |
Shipping Instructions Refrigerated | |
Predicted Species Human | |
Reactive Species Human | |
Human Gene ID 55048 | |
Product Grade ![]() | |
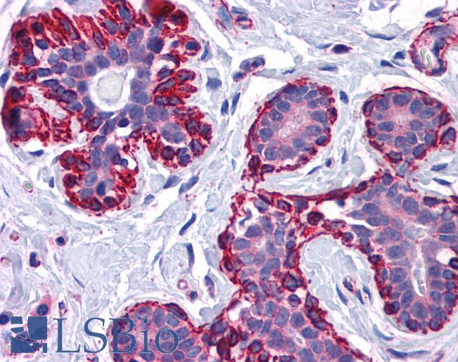
IHC Results Paraffin embedded Human Prostate and Breast. Recommended concentration: 3.75µg/ml. | |
ELISA Detection Limit Antibody detection limit dilution 1:32000. | |
Western Blot Approx 38kDa band observed in human duodenum lysates (calculated MW of 38.7kDa according to NP_060436.4). Recommended concentration: 0.03 - 0.1µg/ml. | |
Application Type Pep-ELISA, WB, IHC |
Goat Anti-VPS37C Antibody
$431.00
| SKU | Unit Size | Price |
|---|---|---|
Select a unit size:
Documents |



