Formulation Supplied at 0.5 mg/ml in Tris saline, 0.02% sodium azide, pH7.3 with 0.5% bovine serum albumin.
| |
Unit Size 100 µg | |
Storage Instructions Aliquot and store at -20°C. Minimize freezing and thawing. | |
Synonym / Alias Names Wiskott-Aldrich syndrome protein|THC1|Wiskott-Aldrich syndrome (eczema-thrombocytopenia) protein|thrombocytopenia 1 (X-linked)|IMD2|THC|WAS|Wiskott-Aldrich syndrome (eczema-thrombocytopenia)|WASP | |
Usage Summary Immunofluorescence: Strong expression of the protein seen in the nuclei and cytoplasm of HepG2 and U2OS cells. Recommended concentration: 10µg/ml.
Flow Cytometry: Flow cytometric analysis of HepG2 cells. Recommended concentration: 10ug/ml. | |
Accession ID NP_000368.1 | |
Blocking Peptide EBP06675 | |
Immunogen Peptide with sequence C-SPADKKRSGKKKI, from the internal region of the protein sequence according to NP_000368.1. | |
Product Comments No cross-reactivity expected with N WASP (WASL). | |
Peptide Sequence C-SPADKKRSGKKKI | |
Purification Method Purified from goat serum by ammonium sulphate precipitation followed by antigen affinity chromatography using the immunizing peptide. | |
Shipping Instructions Refrigerated | |
Predicted Species Human, Mouse, Rat, Dog | |
Reactive Species Human | |
Human Gene ID 7454 | |
Product Grade ![]() | |
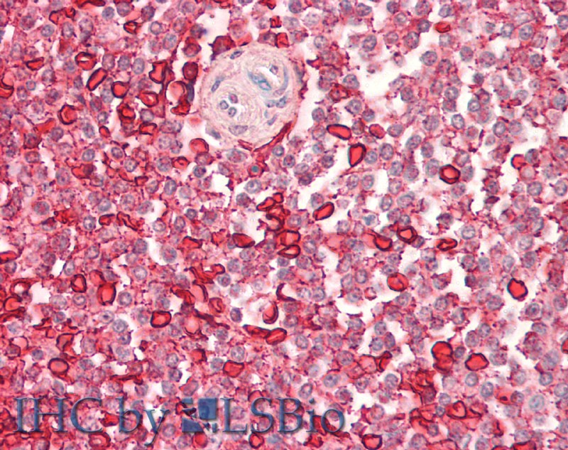
IHC Results Paraffin embedded Human Spleen. Recommended concentration: 5µg/ml. | |
ELISA Detection Limit Antibody detection limit dilution 1:128000. | |
Application Type Pep-ELISA, IHC, IF, FC |
Goat Anti-Wiskott-Aldrich Syndrome / WASP Antibody
$431.00
| SKU | Unit Size | Price |
|---|---|---|
Select a unit size:
Documents |




