Change country
Home

Goat Anti-MDH2 (aa221-232) Antibody (EB13028)

Code Name Applications Availability Size Tested species Price Grade  
EB13028 Goat Anti-MDH2 (aa221-232) Antibody Pep-ELISA, WB, IHC Yes 100µg specific antibody in 200µl Human $423.00 Elite

Ordering Information for

Order direct from Everest

Order offline

99% of products are held in stock for immediate shipment, see individual product pages for availability.

Please order through the US Dollar shopping cart (links on each product page) or we accept orders by email ([email protected]
Please include the following information with your order:

  • Product code(s)
  • Purchase order number
  • Delivery and invoice address
  • Contact telephone number and email address

In stock orders received by 11 am PST on Monday through Friday are shipped the same day.

Orders are shipped by our parent company Vector Laboratories, 6737 Mowry Avenue, Newark CA 94560, USA. 

EB13028 1
EB13028 (0.03µg/ml) staining of HeLa (A), HepG2 (B) and K562 (C) lysate (35µg protein in RIPA buffer). Primary incubation was 1 hour. Detected by chemiluminescence.
EB13028 2
EB13028 (0.03µg/ml) staining of Human Heart (A) and Liver (B) lysate (35µg protein in RIPA buffer). Primary incubation was 1 hour. Detected by chemiluminescence.
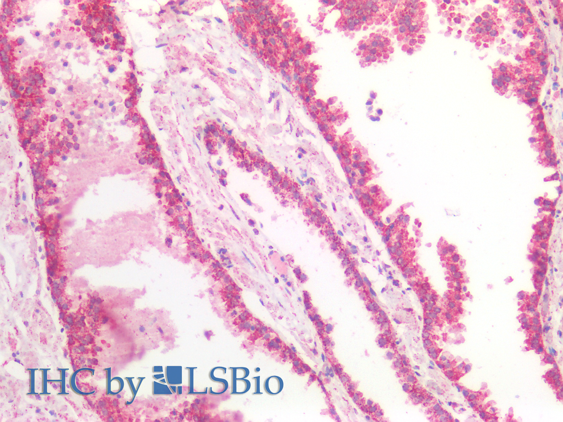
EB13028 3
EB13028 (5µg/ml) staining of paraffin embedded Human Prostate. Steamed antigen retrieval with citrate buffer pH 6, AP-staining.
Click here to download PDF datasheet.

Target Protein

Principal Names: MDH2, malate dehydrogenase 2, NAD (mitochondrial), M-MDH, MDH, MGC:3559, MOR1, malate dehydrogenase, mitochondrial
Official Symbol: MDH2
Accession Number(s): NP_005909.2
Human GeneID(s): 4191

Immunogen

Peptide with sequence C-DQLTALTGRIQE, from the internal region of the protein sequence according to NP_005909.2.

Please note the peptide is available for sale.

Purification and Storage

Purified from goat serum by ammonium sulphate precipitation followed by antigen affinity chromatography using the immunizing peptide.
Supplied at 0.5 mg/ml in Tris saline, 0.02% sodium azide, pH7.3 with 0.5% bovine serum albumin.
Aliquot and store at -20°C. Minimize freezing and thawing.

Applications Tested

Peptide ELISA: antibody detection limit dilution 1:16000.
Western blot: Approx 36-37kDa band observed in lysates of cell lines HeLa, HepG2 and K562, and approx 35kDa band observed in Human Heart and Liver lysates (calculated MW of 35.5kDa according to NP_005909.2). Recommended concentration: 0.01-0.03µg/ml.
IHC: Paraffin embedded Human Prostate. Recommended concentration: 5µg/ml.

Species Reactivity

Tested: Human
Expected from sequence similarity: Human

Product Reviews

Please login to review this product.